Что такое шизофрения и как она может проявляться
Шизофрения – это наследственная патология, связанная с изменениями на нейроанатомическом и нейрохимическом уровнях. Это расстройство личности лечится медикаментозным путем. Препараты для лечения назначает психиатр.
Внимание: Заболевание может начаться как в детстве, так и в зрелом возрасте. Однако время начала психического расстройства определяет степень тяжести болезни
Так, если диагноз поставлен до 21 года, то протекает болезнь тяжело. Если же патология диагностирована после 40 лет, то она переносится больным легче.
Врачи отмечают, что эпилепсия у взрослых может возникать по различным причинам, среди которых важную роль играют психосоматические факторы. Стресс, эмоциональные нагрузки и психические расстройства могут способствовать развитию судорожных приступов. Кроме того, эпилепсия часто возникает после инсульта или травмы головы, когда повреждение мозга приводит к нарушению его электрической активности. В таких случаях риск развития заболевания значительно увеличивается. Специалисты подчеркивают, что важно учитывать индивидуальные особенности пациента, его историю болезни и наличие предрасполагающих факторов. Комплексный подход к диагностике и лечению позволяет более эффективно справляться с этой сложной патологией.
Основные внешние признаки шизофрении
Признаки психотического расстройства — слуховые, вкусовые и зрительные галлюцинации, которые изменяют поведение больного: он становится тревожным, мнительным, агрессивным, подавленным, теряет связь с реальностью, не может понять что реально, а что иллюзорно.
Люди с шизофренией не могут скрыть недуг от окружающих потому, что имеют некоторые особенности мышления. Формулируя свои мысли, они не могут связно излагать их. Им трудно придерживаться логической линии в повествовании.
Часто они делятся с окружающими подозрениями о том, что за ними следят, их хотят убить или отравить. По словам пациентов, их жизнь подчинена сверхъестественным силам, которые предопределяют все события их жизни.
Важно: Встречаясь с непониманием со стороны окружающих, они стараются свести свои контакты с людьми к минимуму, предпочитая одиночество. К людям они относятся подозрительно, видят в них врагов.
Риск возникновения шизофрении
Риск возникновения болезни определяется генетикой. Для детей он высок, если:
- Это расстройство диагностировано у одного или обоих родителей. В случае если больна мать, вероятность появление недуга у ребенка возрастает в 5 раз, чем в случае болезни отца. Если в семье, где один из родителей страдает психотическим расстройством, рождается двойня, риск патологии у детей выше. Даже при условии передачи ребенка в интернат с целью оградить его от общения с родителями-шизофрениками, наследственность все равно может проявиться и спровоцировать болезнь.
- Этот диагноз был поставлен бабушке или дедушке ребенка.
- Родные брат или сестра ребенка страдают расстройствами психики.
- Неблагоприятные внешние факторы: родовая травма, психические травмы в раннем возрасте, перенесение тяжелых инфекционных заболеваний, табакокурение и алкоголизм.
Эпилепсия — это сложное неврологическое заболевание, которое может возникнуть у взрослых по различным причинам. Одной из основных считается генетическая предрасположенность, однако немаловажную роль играют и внешние факторы. Психосоматика, например, может влиять на развитие эпилептических приступов: стресс, тревога и депрессия способны спровоцировать обострение болезни. Также эпилепсия может развиться после инсульта или травмы головы, когда повреждаются участки мозга, отвечающие за электрическую активность. Люди, пережившие тяжелые травмы или операции на голове, часто становятся более уязвимыми к этому заболеванию. Важно учитывать, что каждый случай индивидуален, и для эффективного лечения необходимо комплексное обследование и подход.
Тревога при шизофрении
Интересно: Статистика свидетельствует, что с течением времени количество ненормальных в России остается неизменным. С одной стороны, это позволяет говорить о том, что потеря разума не является эпидемией и на частоту ее возникновения не влияет экологическая обстановка в стране.
Но следует иметь ввиду, что почти половина населения страдает депрессиями и склонностью к суицидальному поведению. Если отнести эти расстройства к душевным, к каковым относится и шизофрения, то ситуация приобретает критичный вид.
Кроме того, психотическое расстройство сопровождается тревожностью. Тревожность обусловлена невротическими патологиями. Пациент постоянно обеспокоен чем-то: своей внешностью, работой, общением с окружающими.
Конечно, и здоровому человеку свойственно переживать и тревожиться иногда по незначительным поводам. Но между тревогой нормального человека и тревожностью шизофреника есть разница: у здорового человека тревожность обусловлена объективной внешней причиной, а у безумного это перманентное состояние личности.
Прогноз и профилактика
Чем раньше диагностирована болезнь и начато лечение психосоматического заболевания, тем лучше прогноз. На начальных стадиях все болезни хорошо поддаются лечению. Наиболее благоприятным прогнозом наделены функциональные нарушения без органических повреждений. При анатомо-структурных изменениях может понадобиться продолжительное медикаментозное лечение психосоматических расстройств.
В целях профилактики психосоматических заболеваний нужно повышать стрессоустойчивость, учиться решать конфликты и выражать все эмоции, в том числе негативные.
Факторы, влияющие на развитие заболевания
К факторам, провоцирующим развитие заболеваний, относится:
- подавленные эмоции и потребности;
- невысказанное мнение и чувства;
- навязчивые плохие мысли.
Все это создает напряжение, которое накапливается до тех пор, пока не достигнет пика и не выльется соматическими проявлениями.
Осложнения
Без медикаментозного лечения и психотерапии психосоматические расстройства развиваются так же, как их соматические аналоги. Структурные нарушения превращаются в хронические болезни. Постоянный прием медикаментов, частые боли и другие симптомы заметно снижают качество жизни больного. Он становится зависим от других людей, их ухода и помощи. Заметно снижается социальная, трудовая, физическая активность. Некоторые болезни могут привести к инвалидности.
Лечение приобретенного заболевания
Как правило, больным приходится лечиться всю жизнь. Препараты для них подбирают индивидуально. Все зависит от формы заболевания и частоты возникновения припадков.
Обычно этот опасный недуг лечат амбулаторно. Терапия направлена на:
- улучшение качества жизни,
- предупреждение появления новых приступов,
- улучшение социальной адаптации,
- прекращение приема медикаментов при достижении ремиссии.
Госпитализируют пациентов только в следующих случаях:
- при первом припадке для проведения тщательного обследования,
- при развитии эпилептического статуса,
- для осуществления оперативного лечения.
Хирургическое лечение показано для снижения выраженности заболевания. Очаг возбуждения в коре головного мозга удаляют. Перед подобным вмешательством необходимо пройти обследование.
Как правило, операция требуется в том случае, когда медикаментозная терапия оказывается не слишком эффективной.
Выявление причин развития эпилепсии, а также обнаружение факторов риска позволяет снизить частоту возникновения опасного недуга у людей, имеющих предрасположенность к нему.
Если же болезнь все же появится, врачи будут делать все для того, чтобы купировать припадки.
Откуда берется эпилепсия и как с ней жить, в этом ролике:

Что делать, чтобы меньше нервничать
Николай Французов советует вспомнить приёмы, помогающие расслабиться. К ним относятся техники дыхания и релаксации, позитивный внутренний монолог (самовнушение), рациональное объяснение происходящей ситуации и поиск аргументов в свою пользу («Я способен решить эту проблему»)
Грамотно выходить из стрессовой ситуации, используя приёмы самоутверждения («Я могу гордиться собой»), тоже важно. Французов добавляет, что хороший эффект дают аутогенные тренировки, медитация, занятия йогой, массаж и активная физическая нагрузка
Иногда переключить внимание достаточно при помощи чтения увлекательной книги, приготовления любимого блюда, расслабляющей ванны или похода в театр. Но, как правило, снять стресс ещё не значит решить проблему
Очень важно осознать причину своих переживаний и создать новую стратегию поведения (в этом поможет работа с психологом или психотерапевтом)
Что является факторами риска?
Различают ишемический и геморрагический инсульт. При ишемическом ударе происходит внезапное нарушение кровоснабжения мозга. При геморрагическом ударе наступает поражение головного мозга в результате разрыва кровеносного сосуда с последующим кровоизлиянием..
Главнейшие факторы риска инсульта такие:
- возраст (чем он выше, тем больше вероятность болезни);
- пол (мужчины более подвержены этому опасному недугу);
- курение;
- частое употребление алкоголя;
- гипертоническая болезнь;
- атеросклероз (он вызывает закупорку сосудов холестериновыми бляшками);
- прием женщинами гормональных противозачаточных средств;
- неблагоприятная наследственная расположенность;
- хроническое отравление организма в результате наркомании, токсикомании, неправильного употребления тех или иных лекарственных средств;
- риск инсульта существенно повышается у лиц, пренебрегающих основным правилам здорового питания.
Причины геморрагического инсульта
При разрыве церебральных сосудов развивается геморрагический инсульт. Происходит образование гематом, а также геморрагия, вследствие чего пораженные участки мозга отмирают. Может также развиваться отек головного мозга со значительным повышением внутричерепного давления.
Другие, не менее важные и серьезные причины развития этой серьезной патологии такие:
- разрыв аневризмы сосуда;
- врожденные аномалии кровеносных сосудов головного мозга;
- сильная физическая и психологическая нагрузка.
Последствия геморрагического инсульта также очень серьезные: головокружения, параличи, стойкие нарушения речи и когнитивных функций.
Причины развития инсульта у детей
К сожалению, острое нарушение кровообращения мозга может быть и у детей. Оно встречается очень редко: его частота – 6 случаев на сто тысяч человек в год.

В этиологии младенческого инсульта важное место занимают тяжелые инфекционные заболевания головного мозга — менингиты и энцефалиты, а также заболевания крови (в первую очередь, анемия гемолитического типа). Такие заболевания с высокой долей вероятности могут вызвать апоплексический удар
Иногда острое нарушение мозгового кровообращения может быть связано с повреждением головного мозга ребенка во время родов (родовая травма).
Психосоматика инсульта
Многочисленные исследования показывают, что мир эмоций оказывает огромное влияние на риск инсульта. Иными словами, психосоматика инсульта напрямую связана с многочисленными стрессами, которым подвергается современный человек.

Это особенно актуально для лиц с низкой самооценкой: ведь они ищут любую возможность самоутверждения. То же можно сказать и о страхе несоответствия общепринятым социальным нормам.
Психосоматика апоплексического удара очень разнообразна. Изменение образа жизни, а главное – отношения к себе, окружающему миру – важнейшие аспекты предотвращения развития инсульта головного мозга.
Сигналы тела
Cимптоматика психосоматических расстройств может выражаться и через болезненные ощущения в теле. Всем нам известна пресловутая головная боль, которая не даёт расслабиться, или боль в горле, которая не всегда понятна докторам. Каждая часть нашего организма принимает на себя те или иные психосоциальные удары и реагирует на них болью. Приведём таблицу соотношения проблем и телесных сигналов.
Таблица 1. Психологические причины боли в теле
|
Часть тела |
Причины боли |
|
Голова |
Стресс, перенапряжение, частые переживания |
|
Боль в шее |
Обида, неумение самовыражаться, сдерживание эмоций |
|
Грудь |
Отсутствие поддержки, чрезмерное навязывание своей воли другим |
|
Плечи |
Эмоциональная перегрузка, задавленность окружением |
|
Живот |
Финансовые проблемы |
|
Верхняя часть спины |
Отсутствие поддержки, ощущение ненужности |
|
Нижняя часть спины |
Переживания по поводу денег |
|
Локти |
Отсутствие гибкости, косность |
|
Кисти |
Эмоциональная фиксированность, отсутствие друзей |
|
Руки |
Неудовлетворённость своим делом |
|
Ладони |
Изоляция и одиночество |
|
Таз |
Боязнь перемен, боязнь покидать «зону комфорта» |
|
Колени |
Задетое эго, чрезмерный эгоизм, зацикленность на себе |
|
Голень |
Ревность, переизбыток страстей |
|
Лодыжка |
Неумение расслабляться, действия во вред себе |
|
Стопа |
Равнодушие, апатия, страх перед будущим |
Симптомы заболевания
Признаки эпилепсии определяются теми участками головного мозга, в которых возникает патологический разряд. Обычно симптомы проявляются в нарушении тех функций, за которые отвечают пораженные зоны головного мозга.
При эпилепсии наблюдается аномально высокая электрическая активность нервных клеток головного мозга
Болезнь характеризуется появлением двигательных расстройств, проблем с речью, дисфункцией психических процессов, уменьшением или нарастанием тонуса мышц. Каков наиболее характерный клинический признак эпилепсии? Первые признаки эпилепсии у ребенка отличаются от проявлений данного заболевания у взрослых.
У женщин

Затем женщина падает, а ее конечности сокращаются. У некоторых пациенток наблюдается непроизвольное опорожнение мочевого пузыря и кишечника.
Большие судорожные припадки отнимают у больной колоссальный объем энергии: очнувшись, она чувствует себя слабой, изможденной, дезориентированной. Некоторые женщины перестают узнавать родственников и не понимают, что с ними случилось. Приступ амнезии может продолжаться в течение пары минут или нескольких часов.
Что касается малого судорожного и фокального припадков, то их проявления схожи: для них обоих характерно кратковременное и незаметное выключение сознания. Потеря связи с реальностью может сопровождаться неожиданными глотательными, сосательными или жевательными движениями.
У некоторых пациенток наблюдается кивание головой, дрожание ресниц, подергивание мышц на лице. Иногда подобные припадки повторяются по несколько раз в день, незаметно для самой женщины и окружающих ее людей.
Отдельно стоит выделить психомоторные судорожные припадки, которые берут начало в височной доле мозга, после чего распространяются на его остальную часть.
Как правило, таким приступам предшествует аура – состояние, которое сообщает о скором наступлении припадка.
Пациентка может испытывать галлюцинации (связанные с обонянием, зрением, слухом), тревогу либо страх, чувствовать тошноту, слабость, головокружение, позывы на дефекацию.
Сам припадок характеризуется кратковременной потерей сознания и совершением повторяющихся действий, которые кажутся для окружающих бессмысленными. Очнувшись, женщина частично теряет память и не помнит ничего, за исключением состояния, предшествующего приступу.
У мужчин
Первые признаки эпилепсии у взрослых мужчин ничем не отличаются от признаков эпилепсии у женщин. Единственный симптом, который у представителей сильного пола проявляется сильнее, – это нарушение сексуальной функции. У мужчины, страдающего «падучей» наблюдается снижение либидо, ухудшение эрекции.
К сожалению, медикам доподлинно неизвестно, чем вызван данный симптом: самим заболеванием либо сопутствующей медикаментозной терапией.
У детей
Родителей, заметивших первый признак эпилепсии у ребенка, это самое проявление может не на шутку испугать.

- ритмичными и неестественными конвульсиями;
- напряжением мышц;
- периодической потерей сознания;
- непроизвольной дефекацией, мочеиспусканием;
- закатыванием глаз;
- нарушением дыхания;
- совершением бесконтрольных движений и действий.
Признаки эпилепсии у грудничков (детей до 2 лет), дошкольников, школьников и подростков выявить сложно, так как для определенных форм эпилепсии судороги не характерны. При поражении определенных участков мозга или мозговой коры судороги охватывают не все тело, а отдельные нижние или верхние конечности.
Первые симптомы эпилепсии могут появиться в любом возрасте: у школьников, дошкольников и даже новорожденных. Учителям приходится следить за десятками детей, поэтому вероятность того, что воспитатель заметит едва различимый судорожный приступ, сводится к нулю.
При такой форме заболевания, как височная эпилепсия, признаки характеризуются фебрильными судорогами. Наблюдаются эти признаки эпилепсии как у детей до года, так и в возрасте 6 лет.
Вот почему так важно следить за состоянием ребенка и моментально реагировать на любые изменения в его поведении или самочувствии.
Почему болеют из-за стресса
Стресс — защитная реакция организма на потенциальную опасность. В момент стресса увеличивается выработка гормонов «экстренного реагирования» катехоламинов (это адреналин, норадреналин, дофамин) — и все процессы ускоряются: учащаются сердцебиение и дыхание, усиливается моторика желудка и работа почек. Организм готовится к спасительным действиям — бежать от опасности или отвечать нападением («fight or flight»). Чтобы обеспечить мышцы и органы кислородом в таком состоянии, сосудам требуется прокачать больше крови, чем обычно. Для этого необходимо увеличить скорость кровотока, что уменьшит просвет сосудов и увеличит давление в них. Когда действие завершится и произойдёт разрядка (выплеск эмоций), работа сосудистой системы нормализуется. Если разрядки не возникает, спазм сосудов сохраняется, и это может привести к развитию артериальной гипертензии.
Дмитрий Исаев обращает внимание, что звери в дикой природе находятся в постоянном стрессе, но у них нет подобных проблем со здоровьем. Это связано с тем, что, в отличие от животных, в современных условиях человек вынужден сдерживать негативные эмоции, например агрессию
Ускоренный режим работы организма «компенсируется» изменениями в органах — и в результате развиваются или обостряются болезни. Степень воздействия стресса и особенности личности, её характер, темперамент — факторы, которые также влияют на риск психосоматических патологий.
Психотерапевт Ольга Лукина приводит случай из собственной практики: пациент жаловался на регулярную интенсивную боль в области сердца, но сердечно-сосудистых патологий у него не было. Мужчина привык много трудиться, хорошо выполняя свою работу, и занимал должность топ-менеджера в крупной международной компании. Его новым боссом стал агрессивный лидер, требующий невозможного. В результате чем сильнее подчинённый истощал себя, тем чаще допускал ошибки и выслушивал недовольства начальника. Тревожность увеличивалась — и в результате круг замкнулся: истощённый организм нуждался в полноценном сне, но, когда появлялось время на отдых, последний оказывался невозможным из-за дискомфорта в груди. По словам врача, ещё немного — и её пациент «заработал» бы инфаркт миокарда или инсульт.
В основе психосоматических заболеваний лежат внутренние конфликты, которые не всегда легко осознать. Человек с самого детства может быть приучен оправдывать чужие ожидания вместо того, чтобы добиваться собственных целей. В результате внутреннее равновесие утрачивается — становится сложно проявлять себя, накапливаются невыраженные эмоции, растёт внутреннее напряжение. Организму требуется всё больше сил, и даже незначительный стресс может спровоцировать, например, нарушение гормональных механизмов контроля артериального давления. Это приведёт к гипертоническому кризу.
Причины возникновения эпилепсии у взрослых
При виде приступа эпилепсии у многих возникает вопрос, как передается эпилепсия и можно ли ею заразиться от больного человека. На самом деле данное заболевание не является инфекционным, к примеру, таким, как грипп, ветрянка или ОРЗ. Оно может возникнуть только вследствие влияния следующих факторов:
- наследственная предрасположенность;
- приобретенная предрасположенность взрослого человека.
Эпилепсия может передаваться по наследству. Этот факт можно объяснить предрасположенностью головного мозга или его придатков к гиперреактивности, а также особом состоянии нейронов, и их склонности к возбуждению. Такая редкая особенность заключена в генетическом коде человека и может передаваться от больных родителей к детям. Дополнительными причинами приступов эпилепсии могут быть:
- менингит;
- черепно-мозговые травмы;
- энцефалит;
- сильное поражение структур мозга вследствие приема наркотиков или спиртных напитков;
- киста.
От чего появляется эпилепсия после вышеприведенных болезней? Дело в том, что такие тяжелые поражения мозга приводят к возникновению в нем особых нейронов, обладающих низких порогом возбуждения.
Группы этих нейронов образуют так называемый эпилептический очаг, который способствует «захвату» нервных импульсов. Они распространяются на все окружающие их клетки, завлекая, таким образом, все новые нейроны. В зависимости от функций, которые выполняли эти соединения, при припадке у человека могут быть вегетативные, психические, двигательные или чувствительные нарушения.
Еще одной причиной, от чего возникает эпилепсия, является онкологическая патология в головном мозге. При таком заболевании мозговые ткани очень сильно меняются и повреждаются, что может дать некий толчок к развитию эпилепсии.
Диагностика
Диагностика начинается с детального опроса больного и его окружающих, которые расскажут, что случилось. Врач должен знать общее состояние здоровья пациента и особенности приступов, как часто они возникают.
Важно выяснить наличие генетической предрасположенности. После сбора анамнеза переходят к неврологическому обследованию, чтобы выявить признаки поражения мозга
После сбора анамнеза переходят к неврологическому обследованию, чтобы выявить признаки поражения мозга.
Всегда делают МРТ для исключения заболевания нервной системы, которые также могут провоцировать приступы судорог.
Электроэнцефалография позволяет изучить электрическую активность мозга. Расшифровку должен делать опытный невролог, так как эпилептическая активность встречается у 15% здоровых людей.
Часто между приступами картина ЭЭГ бывает нормальной, тогда лечащим врачом перед обследованием провоцируются патологические импульсы.
Во время диагностики важно определить вид припадков для правильного назначения препаратов. Например, миоклоническая эпилепсия поддается дифференцированию только стационарно
Как помочь больному?
При эпилептическом приступе человек теряет сознание и падает. Это часто приводит к получению им травмы. Также во время припадка возможно непроизвольное мочеиспускание и дефекация. Поэтому в течение всего приступа больной нуждается в помощи.
После того, как человек придет в себя, необходимо обратиться к специалисту, который выявит причины ухудшения состояния и назначит лечение для предупреждения рецидивов заболевания.

Необходимые действия при приступе
Что нужно делать:
- Уложить пострадавшего на ровную поверхность подальше от острых предметов.
- Распахнуть окна, расстегнуть одежду больного: это облегчит его дыхание и улучшит приток крови и кислорода к головному мозгу.
- Придерживать голову руками.
- Повернуть больного набок: это предотвратит попадание слюны, рвотных масс в дыхательные пути.
Также запрещено давать пострадавшему какие-либо препараты (это должен делать врач). Исключение возможно в случае, когда вероятность улучшить самочувствие больного намного выше, нежели риск возникновения негативных последствий.
Методы диагностики и терапии
Чтобы выяснить, почему возникла постинсультная эпилепсия и подобрать эффективное лечение, больному назначают комплексное обследование. В него входят такие методы диагностики:
-
клинический анализ крови и мочи;
- ангиография;
- томография (КТ или МРТ) головного мозга;
- исследование глазного дна;
- эхокардиография;
- неврологический тест для оценки когнитивных функций;
- электрокардиограмма;
- электроэнцефалограмма (ЭЭГ).
Лечение постинсультных эпилептических приступов должно быть комплексным и включать меры, направленные как на восстановление после инсульта, так и на лечение эпилепсии. Назначают ноотропы (Церебролизин, Энцефабол) и противосудорожные средства (Карбамазепин, Депакин).
Убрать судороги и купировать другие симптомы эпилепсии после инсульта сложно. Чтобы лечение не превратилось в долгий и бесполезный процесс, необходимо соблюдать все рекомендации лечащего врача.
Рекомендации по профилактике
При своевременном обращении к врачу, правильно подобранном лечении прогноз заболевания благоприятный. Благодаря применяемым препаратам, функции мозга постепенно восстанавливаются. Это приводит к снижению частоты судорожных припадков или полному их исчезновению. После терапии больной находится под наблюдением невролога.
Для профилактики возникновения эпилепсии (или рецидива заболевания) рекомендуется:
- Скорректировать питание (ограничить употребление продуктов, ухудшающих тонус сосудов).
- Отказаться от курения, употребления алкогольных напитков.
- Избегать стрессовых ситуаций, физического и умственного перенапряжения.
- Регулярно принимать препараты, выписанные лечащим врачом.
Инсульт и эпилепсия – два разные, но тесно связанные между собой заболевания. Ишемическое поражение мозга может стать причиной появления эпилептических припадков, и наоборот.
Поэтому при постинсультной эпилепсии назначается комплексное лечение. Если соблюдать рекомендации врача и правила профилактики ее появления, можно значительно улучшить качество жизни и предотвратить развитие осложнений.

При диагностике эпилепсии причины ее возникновения у взрослых имеют первостепенное значение. Установить их необходимо для выбора результативной терапевтической тактики. Найдя источник проблемы и устранив его, порой удается избавить пациента от мучительных симптомов. В перечень диагностических мероприятий входит:
- Сбор анамнеза, где важна любая мелочь состояния больного. Значимо, когда появились первые симптомы, как они проходят. Хорошо, если приступ зарегистрирован на видео, если нет, придется опросить очевидцев о его проявлениях.
- Неврологический осмотр.
- Электроэнцефалография (ЭЭГ) – результативный метод исследования, определяющий электрическую активность в мозге.
- Структурные нарушения в полушариях мозга помогают выявить МРТ и КТМ.
- Лабораторные исследования.
Все типы обследования позволяют диагностировать эпилепсию, ее происхождение и вид.
Лечение эпилепсии у взрослых – процесс длительный. В каждом конкретном случае подбирается индивидуальная терапия с учетом возраста, пола, этиологии возникновения, особенностей течения и активности проявлений.
Медикаментозное лечение
К основным лекарственным препараторам, назначаемым при эпилепсии, относятся:
- Антиконвульсанты, или противосудорожные средства. Их действие направлено на снижение продолжительности и частоты приступов. Принимают их длительно: годами, иногда всю жизнь. В некоторых случаях лекарство устраняет симптомы болезни полностью. Выбор приоритетного препарата обусловлен типом припадка, видом эпилепсии у взрослых, ее причинами, наличием соматических патологий, возраста пациента. Применяются: «Вальпроат», «Фенитоин», «Карбамазепин», «Леветирацетам».
- Обезболивающие средства. Для снижения болевого синдрома после приступа.
- Прием кальция. Помогает снизить судорожные проявления.
- Нейротропные средства. Активизируют или угнетают передачу нервных импульсов в отделах ЦНС.
- Ноотропные препараты. Воздействуют на психические функции мозга.
Больные находятся под наблюдением лечащего врача. Каждый квартал происходит осмотр состояния пациента, мониторинг эффективности терапии и исследования побочных действий медикаментозных средств. При отсутствии приступов на протяжении 2 лет не исключена постепенная отмена противосудорожного лечения.
Хирургическое лечение
Оперативное вмешательство проводится при частых приступах, когда лечение не приносит успеха.
- Операция предполагает резекцию участка тканей мозга, где располагается очаг возбуждения или пресечение нервных связей между полушариями методом комисуротомии. Проводится в том случае, если гарантировано улучшение состояния и точно установлен пораженный участок.
- Электростимуляция – новый метод, рекомендуемый, когда операция невозможна, а лекарства неэффективны. Представляет собой снижение активности в мозге при помощи умеренного электрического импульса. Для этого под кожу пациента вшивается нейростимулятор.
Операция не всегда дает положительный результат, поэтому предпочтение отдается новой методике.
Эпилепсия – заболевание сложное, лечится непросто, особенно трудности возникают, когда оно проявляется во взрослом возрасте. Но, если, вовремя диагностировать патологию и правильно установить причину, сохранить здоровье вполне реально. Медицина способна справиться с недугом, не только сдержать его развитие, но и полностью остановить приступы.
Причины и диагностика резидуальной энцефалопатии Симптомы и лечение алкогольной энцефалопатии Характеристика алкогольной эпилепсии и ее лечение Приступы эпилепсии у детей
Лечение эпилепсии
Несмотря на то, что эпилепсия является хронической патологией, ее лечение возможно. Но все же когда возникают первые признаки эпилепсии, врач назначает определенное лечение, которое зависит от течения патологии. Применяться могут как медикаментозные методы лечения, так и немедикаментозные.
К медикаментозному методу относятся:
- Противосудорожные препараты. Данная группа лекарств, целенаправленно действует на источник эпилепсии, тем самым снижая частоту и продолжительность припадков.
- Нейротропные средства. Данные вещества оказывают воздействие на периферическую и центральную нервную систему, угнетая или стимулируя передачу нервных импульсов.
- Психотропные средства. Данная группа лекарств оказывает влияние на психические процессы. Эти лекарства начинаю борьбу с такими проявлениями как: галлюцинации, тревога, страх, состоянием измененного состояния.
К немедикаментозному лечению относятся:
- Хирургическое вмешательство;
- Остеопатический метод;
- Метод Войта;
- Специально подобранная диета (Кетогенная диета);
- Лечение народными средствами ;
В случае если у больного наблюдается так называемый эпилептический статус, то его лечение возможно с помощью таких препаратов как: диазепам и седуксин.
Прогноз при эпилепсии как заболевании с хроническим течением – неблагоприятный, однако в некоторых случая процесс может полностью прекратиться.
Поэтому признаки эпилепсии могут иметь неблагоприятный прогноз не только для самого человека (возникновение своеобразных изменений сознания вплоть до выраженного слабоумия), но и для жизни. Больные могут погибнуть от эпилептического статуса, от несчастного случая во время эпилептического припадка, могут покончить жизнь самоубийством во время дисфории или сумеречных состояний.
Поэтому при первом признаке эпилепсии следует обратиться к врачу, при необходимости врач назначит лекарственные препараты, которые смогут блокировать возникновение эпилептических припадков.
Симптомы
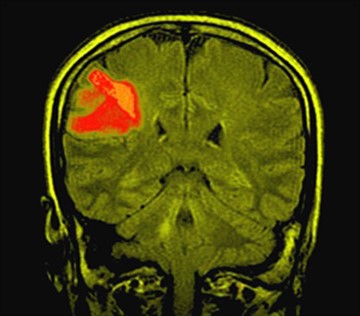
Клинические проявления эпилепсии во многом зависят от степени повреждения мозга и локализации очагов с повышенной эпилептической активностью. Лобная доля отвечает за выполнение произвольных движений.
Во время эпилептического припадка при поражении этого участка мозга возникают следующие симптомы:
- повороты головы и глаз в одну сторону;
- судорожные подергивания лица и конечностей;
- потеря речи;
- нарушения психики.
Височная доля мозга отвечает за речь и слух, поэтому при появлении очагов эпилептической активности в этой области могут появляться следующие симптомы:
- интеллектуальные и поведенческие нарушения;
- непроизвольные автоматичные движения;
- вкусовые, обонятельные и зрительные галлюцинации;
- бледность кожных покровов;
- тошнота;
- повышение потоотделения;
- нарушения речи;
- эмоциональная нестабильность.
Теменная доля отвечает за чувствительность и ассоциативное поведение, поэтому при поражении данной области припадки при эпилепсии могут сопровождаться появлением таких признаков, как:
- боль;
- чувство онемения конечностей;
- покалывание;
- ощущение ударов тока;
- нарушения координации движений.
При поражении затылочной доли мозга во время эпилептического приступа могут возникать вспышки света и цветные пятна перед глазами, а также зрительные галлюцинации. Возможна потеря цветового зрения и временная слепота.
Вопрос-ответ
Как инсульт может вызвать эпилепсию?
Это происходит, когда нарушается передача электрических сигналов между клетками мозга. Это приводит к передаче аномальных сигналов по нервам, вызывая припадок. Инсульт может спровоцировать этот всплеск электрической активности, повреждая связи между некоторыми клетками мозга.
Почему после инсульта появляется эпилепсия?
Внезапный аномальный всплеск электрической активности в мозге может привести к нарушению передачи сигналов по нервам и вызвать припадок. Нарушение электрической активности может произойти из-за повреждения мозга после инсульта.
Может ли эпилепсия быть психосоматической?
Эпилепсия в основном считается неврологическим расстройством, связанным с аномальной электрической активностью в мозге. Однако в некоторых случаях психосоматические факторы, такие как стресс или эмоциональные травмы, могут влиять на проявление симптомов или провоцировать приступы у людей с предрасположенностью к эпилепсии. Тем не менее, это не означает, что эпилепсия сама по себе является психосоматическим заболеванием.
Советы
СОВЕТ №1
Регулярно проходите медицинские обследования, особенно если у вас есть предрасположенность к заболеваниям нервной системы. Это поможет выявить потенциальные проблемы на ранней стадии и предотвратить развитие эпилепсии.
СОВЕТ №2
Обратите внимание на психосоматические факторы, такие как стресс и эмоциональное состояние. Практикуйте методы релаксации, такие как медитация или йога, чтобы снизить уровень стресса и улучшить общее психическое здоровье.
СОВЕТ №3
Если вы перенесли инсульт или травму головы, обязательно проконсультируйтесь с неврологом. Он сможет оценить риски и предложить профилактические меры для снижения вероятности развития эпилепсии.
СОВЕТ №4
Изучите свою семейную историю заболеваний. Если в вашей семье были случаи эпилепсии, обсудите это с врачом, чтобы он мог предложить дополнительные меры предосторожности и мониторинга вашего здоровья.








