Лучевые методы диагностики активно применяются для выявления многих патологических изменений в организме, которые недоступны обычному осмотру. Самым первым подобным способом было применение рентгеновских лучей, которые образуются в специальной трубке. Направленный поток излучения проходит через все ткани, замедляясь в более плотных органах и структурах. Этим феноменом обусловлено получение снимка – на его отдельные участки лучи приходят с разной скоростью.
Чаще всего в практике встречается рентгенография грудной клетки, вариант которой (флюорографию) взрослый человек должен проходить раз в год. На получаемых снимках, вопреки заблуждениям, изучается не только состояние лёгких. Рентгенологи описывают как внешние костные структуры, так и содержимое грудной клетки. Поэтому одним снимком можно не только исключить одно заболевание, но и выявить совершенно другое.
Метод исследования является универсальным для абсолютно всех медицинских специальностей. Его применяют терапевты, хирурги или травматологи – причём круг их поиска может существенно различаться. Самому же пациенту не обязательно разбираться в многочисленных затемнениях и просветлениях. Обычному человеку достаточно знания технологии процедуры, а также основных составляющих, видимых на снимке.
Техника проведения
Рентген грудной клетки, в отличие от многих лабораторных и инструментальных исследований, практически не требует специфической подготовки. Достаточно лишь явиться в необходимый кабинет, где лаборант даст необходимые рекомендации:
- Сначала нужно раздеться до пояса, чтобы лишние слои одежды не препятствовали прохождению рентгеновских лучей. Так как ткань может иметь разную плотность, то на снимке возникнут грубые помехи.
- Также рекомендуется снять любые металлические предметы, которые будут сильно отражать рентгеновские лучи. К ним относятся различные ювелирные изделия – цепочки, крестики. Женщинам требуется проводить исследование без бюстгальтера.
- Затем человек располагается грудью к специальному экрану, высота которого регулируется индивидуально. Подбородок необходимо положить на пластмассовое ложе, находящееся на уровне головы.
- После этого требуется развести лопатки – для этого пациента просят свести плечи либо взяться за рукоятки, находящиеся по бокам от экрана. По команде лаборанта нужно сделать глубокий вдох, и задержать дыхание.
- В это время излучение проходит через все слои тканей, создавая следы на плёнке, расположенной спереди. После проявления снимок готов, что позволяет рентгенологу полностью описать его.
В некоторых случаях рентгенография грудной клетки выполняется в дополнительных проекциях – для этого исследуемого просят повернуться к экрану боком, и завести руку за голову.
Врачи отмечают, что рентгенография грудной клетки является важным инструментом в диагностике различных заболеваний органов дыхания и сердца. Этот метод позволяет быстро и эффективно выявлять пневмонию, опухоли, туберкулез и другие патологии. Специалисты подчеркивают, что рентгенография обладает высокой информативностью и доступностью, что делает её незаменимой в экстренных ситуациях. Однако врачи также предупреждают о необходимости разумного использования этого метода, так как рентгеновское излучение может иметь негативные последствия при частом применении. Они рекомендуют проводить исследование только при наличии показаний и в сочетании с другими методами диагностики для получения наиболее точной картины состояния пациента.

Внешние структуры

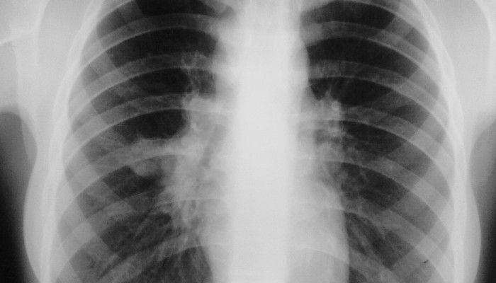
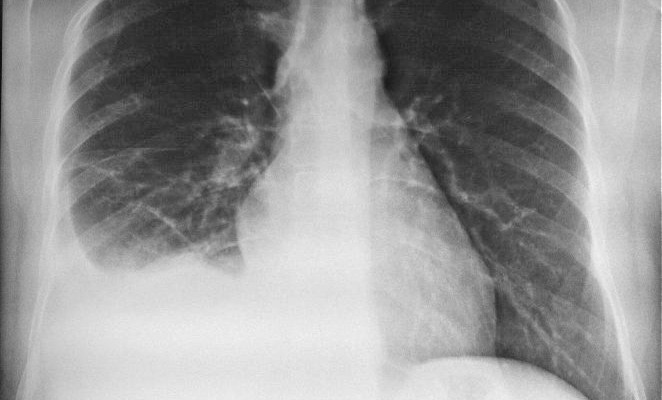
Что показывает рентген грудной клетки? При первом же взгляде внимание сразу задерживается на очертаниях скелета, которые выделяются на фоне тёмной лёгочной ткани. Кости хорошо задерживают излучение, поэтому на снимке они видны в форме ровных и светлых полос. Их состояние оценивается в следующем порядке:
- Сначала определяется симметричность снимка – для этого необходимо посмотреть в его верхнюю часть. Там располагаются ключицы, которые должны находиться горизонтально на одном уровне.
- Далее, оценивается положение лопаток – их при подготовке нужно было развести, чтобы их плотность не мешала описывать состояние лёгких. При нормальном положении они находятся по боковым краям снимка, как светлые треугольники. Их симметричность также важна для диагностики – внутренний и верхний края должны быть на одном уровне.
- Затем переходят к осмотру позвоночника – правильная техника выполнения позволяет увидеть лишь от 4 до 5 верхних грудных позвонков. Если их определяется больше, то для описания внутренних органов такой снимок не подходит.
- Последние начинают оцениваться рёбра – также описывается их симметричность, непрерывность, а также ширина межрёберных промежутков. Недостаточно глубокий вдох не позволит грудной клетке расправиться, что сразу же будет заметно по близкому положению этих костей.
Оценка состояния костей чаще встречается в практике травматолога, что позволяет диагностировать переломы костей грудной клетки и другие повреждения.
Рёбра
Симметричное положение этих костных структур позволяет даже неподготовленному человеку видеть признаки патологии. Травмы и деформации приводят к изменению их однородности, обусловленной большой плотностью ткани:
- Переломы ребер без смещения характеризуются образованием поперечной или косой тёмной полоски, которая проходит через всю толщину ребра. Положение глубокого вдоха позволяет лучше увидеть их, так как при дыхании мышцы немного смещают костные отломки.
- Трещина определяется как небольшой дефект, который захватывает лишь одну сторону ребра. При вдохе отмечается её расширение, позволяющее заметить дефект внешнего края ребра.
- Перелом со смещением заметен с первого взгляда – одна из костей внезапно прерывается, располагаясь на значительном удалении от другого отломка. Такая травма может иметь множественный характер, что приводит к полной потере симметричности грудной клетки.
- Деформации характеризуются изменением однородности костной ткани – рёбро на каком-то участке теряет ровный край, что проявляется тёмным дефектом или более светлым выпячиванием (клиновидная деформация позвонка грудного отдела).
Рентген грудной клетки при подозрении на травму грудной клетки часто проводится без специального положения, что обусловлено выраженным болевым синдромом, возникающим даже при дыхании.
Рентгенография грудной клетки — это один из самых распространенных методов диагностики, который позволяет врачам быстро и эффективно оценить состояние легких, сердца и других органов грудной клетки. Многие пациенты отмечают, что процедура проходит быстро и безболезненно, что делает её доступной для людей всех возрастов. Однако некоторые выражают опасения по поводу радиационного облучения. Врачи уверяют, что доза радиации минимальна и оправдана, особенно если это помогает выявить серьезные заболевания, такие как пневмония или рак. Также пациенты ценят возможность получения результатов в кратчайшие сроки, что позволяет начать лечение без задержек. В целом, рентгенография грудной клетки воспринимается как важный и необходимый инструмент в современной медицине.

Позвоночник
При выполнении снимка в боковой проекции возможна полная оценка состояния грудных позвонков. Диагностика при этом останавливается не только на поиске травматических повреждений:
- Переломы в грудном отделе обычно являются патологическими, так как в норме позвонки укреплены каркасом из рёбер. Деформация одной из костей в форме клина является одним из признаков остеопороза. При метастазах опухоли наблюдается разрушение позвонка изнутри, поэтому он приобретает округлые очертания.
- Остеохондроз поражает рёберно-позвоночные соединения, поэтому будут видны признаки артроза. В области суставов появится усиление плотности костной ткани, которая сформировалась на месте связок и хрящевой ткани.
- Выраженный сколиоз будет заметен даже в прямой проекции – в норме позвонки располагаются строго по вертикальной линии. При патологии они будут отклонены в какую-либо сторону, образуя искривление в форме дуги.
Любое изменение в позвоночнике сразу же отразится на состоянии всех окружающих образований – рентгенография грудной клетки потеряет симметричность, наблюдаемую в норме.
Внутренние структуры
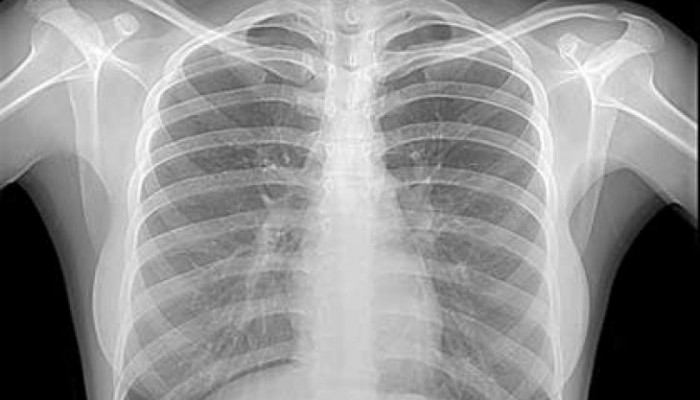
После характеристики всех образований, формирующих наружный каркас, начинается описание органов, находящихся в глубине. При этом также соблюдается определённая последовательность, позволяющая не пропустить возможную патологию:
- Начинается диагностика с оценки состояния лёгочной ткани – она производится поочерёдно в каждом промежутке между рёбрами с правой и левой стороны. В норме этот орган практически не виден на рентгенограмме, что объясняется большим содержанием в нём воздуха. Поэтому излучение быстро проходит его, практически не оставляя следов на плёнке.
- Одновременно описывается состояние плевральных синусов – углублений в нижней части лёгких на границе с рёбрами. В норме он должен выглядеть как тёмный острый угол, который слева выражен больше, чем справа.
- Затем оценивается состояние корней лёгких – они содержат крупные бронхи, лимфатические узлы, а также сосуды. Поэтому в норме они определяются как небольшие и узкие светлые пучки, идущие от внутренних краёв лёгочных полей вниз.
- Завершается описание границами сердца и сосудистого пучка – в норме оно должно иметь форму капли, которая расположена в косом направлении.
Рентген органов грудной клетки является быстрым и доступным методом диагностики, который позволяет выявить большинство заболеваний лёгких.
Сердце
Этот орган является достаточно плотным по структуре, плюс содержит внутри своих полостей кровь. Такое строение обусловливает непроницаемость его для рентгеновского излучения, что создает в центре снимка массивное светлое пятно. Изменение его формы может наблюдаться при следующих заболеваниях:
- При гипертонической болезни со временем происходит увеличение левого желудочка сердца, что проявляется значительным расширением тени сердца кнаружи.
- Различные пороки клапанов также являются причиной изменения нормального положения сердца на снимке. Увеличение тени происходит как в области предсердий, так и желудочков, что позволяет даже по рентгену предположить диагноз.
- Образование аневризмы – расширение стенки сосуда – нередко происходит в области начальных отделов аорты. Её развитие будет сопровождаться увеличением ширины тени сосудистого пучка, или появлением в его области округлого выпячивания.
Изменения тени сердца на снимках редко позволяет сразу же установить диагноз, но позволяет заподозрить его, и отправить пациента на более информативное обследование.
Лёгкие
При осмотре симметричных лёгочных полей в первую очередь учитывается их однородность. Если всё же подозревается какое-либо отклонение, то его сравнивают только с аналогичным участком другого лёгкого. Чаще всего при патологии встречаются следующие изменения:
- Затемнения представляют собой очаг уплотнённой ткани, в котором отсутствует воздух. Несмотря на название, на рентгенограмме они определяются как светлые пятна разнообразных форм и размеров. Чаще всего они наблюдаются при воспалительных заболеваниях – пневмониях.
- Аналогичным симптомом характеризуются опухоли – им ещё присуще формирование лучистости. Такое затемнение будет иметь чёткий наружный контур, от которого к внутренней поверхности лёгкого будут отходить тонкие светлые лучи.
- Изменение лёгочного рисунка проявляется как утрата однородности – на фоне тёмных полей между рёбрами будут наблюдаться упорядоченные или хаотичные светлые полосы.
- Корни лёгких могут быть расширены – при этом светлые пучки резко утолщаются, нередко занимая всю внутреннюю поверхность лёгких. Такие изменения возникают при различных воспалительных процессах, поражающих бронхи и лимфатические узлы.
Большинство рентгенологических симптомов описано именно относительно заболеваний лёгких, что ставит этот метод исследования на первое место в диагностике патологии органов дыхания.
Полость плевры
Изменения в ней практически всегда оцениваются по состоянию нижних синусов, которые в норме занимает край лёгкого. Если на его месте определяется светлое пятно, то внутри полости протекает какой-то патологический процесс:
- Некоторые заболевания (сердечная недостаточность, цирроз печени, опухоли) приводят к накоплению в синусах жидкости, которая приводит к симметричному смещению лёгких кверху.
- Воспалительный процесс сопровождается плевритом – крупным светлым пятном, которое закрывает практически всю нижнюю часть лёгочных полей.
Поражения плевры нередко приходится отличать от массивных поражений органов дыхания – долевых пневмоний. Эти заболевания нередко сочетаются, поэтому на помощь врачу приходят рентгеновские снимки в боковых проекциях – при изолированном плеврите в лёгочной ткани будут лишь незначительные изменения.
Вопрос-ответ
Что покажет рентгенография органов грудной клетки?
Благодаря рентгеновскому снимку грудной клетки можно изучить костные структуры, легкие, в том числе бронхи и плевру, сердце и область средостения. Также по результатам оценивают состояние мягких тканей грудины. В подавляющем большинстве случаев рентген грудной клетки проводят для диагностики болезней легких.
В чем отличие рентгена грудной клетки от флюорографии?
Основное отличие рентгена легких и флюорографии — в информативности, интенсивности облучения, показаниях. Менее четкое и достоверное изображение органов дыхания дает флюорография. Чем отличается от рентгена этот метод — не таким агрессивным воздействием на органы, учитывая суммарную дозу облучения.
Что лучше рентгенография или КТ грудной клетки?
Высокая точность диагностики: КТ позволяет получить более детальные и четкие изображения органов и тканей, чем рентген. Это позволяет врачам обнаруживать более мелкие изменения и очерчивать точный размер опухолей или других патологий.
Какие заболевания выявляет рентгенография?
Теневые изображения, полученные методом рентгенографии, дают врачу информацию о состоянии различных органов (легкие, сердце, желудок, лимфоузлы, кости, позвоночник и пр.), а также позволяют выявить разные патологии: участки воспаления, деструкции (разрушения), дистрофии, опухолевые узлы, аномалии развития органов.
Советы
СОВЕТ №1
Перед проведением рентгенографии грудной клетки обязательно сообщите врачу о всех имеющихся заболеваниях, аллергиях и принимаемых вами лекарствах. Это поможет избежать возможных осложнений и обеспечит более точную интерпретацию результатов.
СОВЕТ №2
Не забудьте снять все металлические предметы, такие как украшения, часы и очки, перед процедурой. Они могут исказить результаты снимков и затруднить диагностику.
СОВЕТ №3
Если вы беременны или подозреваете беременность, обязательно сообщите об этом врачу. Рентгенография может быть противопоказана в этом случае, и врач предложит альтернативные методы обследования.
СОВЕТ №4
После получения результатов рентгенографии обсудите их с врачом. Не стесняйтесь задавать вопросы и уточнять непонятные моменты, чтобы полностью понять свое состояние и дальнейшие шаги в лечении.






