Нарушение обмена веществ может привести ко многим болезням. И одной из них является подагрический артрит.
Что такое подагра? Этот диагноз ставит врач, если в суставах локтей, пальцев или кистей, коленей и стопы накапливается много уратов (так называются соли мочевой кислоты). Болезнь встречается нечасто, ей больше подвержены мужчины за 40, женщины в послеменопаузном периоде.
Подагра чаще поражает сустав на пальце ноги, причем в основном страдает большой. Человек ощущает при хождении боль, а вокруг сустава появляется покраснение. Болевые приступы у человека в большинстве случаев возникают не днем, а ночью.
Причины

При переработке пуриновых продуктов организмом вырабатывается мочевая кислота. Если ее накапливается много и происходит застой из-за проблем в работе почки, то излишки урата натрия в качестве кристаллов начинают откладываться в сустав. Именно это и приводит к воспалению.
Вследствие чего возникает заболевание:
- Возрастная, хроническая почечная недостаточность и другие заболевания органа. Поскольку именно почка отвечает за фильтрацию солей из крови, то неправильная работа приведет к застою в организме мочевой кислоты. Иногда здоровая почка может не успевать выводить ураты из-за их чрезмерной выработки.
- Болезни крови. К ним относят лейкемию, анемию, злокачественные новообразования.
- Нарушенный обмен веществ, гормональный сбой.
- Проблемы с поджелудочной железой. Этот орган регулирует синтез и преобразование солей, поэтому неправильная ее работа приведет к чрезмерной выработке урата натрия.
- Травмы. Болезнь также часто проявляется у спортсменов, которые забросили большой спорт и сильно урезали физическую нагрузку.
- Неправильное питание. Злоупотребление спиртным (особенно пивом), так же как и курение, может вызвать подагру. Ее может спровоцировать и чрезмерное увлечение красным мясом, бобовыми продуктами, острой пищей. Много пуриновых нуклеотидов находиться в молоке, икре, шоколаде, кофе и какао.
- Прием аспирина, мочегонных медикаментов. Дело в том, что эти лекарства способствуют увеличению выработки мочевины, тем самым увеличивая нагрузку для почки.
Первые приступы в большинстве случаев провоцирует алкоголь. Иногда причиной можно назвать чрезмерную физическую нагрузку или травму. Но это вовсе не значит, что болезнь поражает одних спортсменов и людей, страдающих алкоголизмом.
Подагра встречается у людей, которые имеют лишний вес, или страдают сахарным диабетом. Также может сыграть роль наследственный фактор.
Врачи отмечают, что подагра является заболеванием, вызванным накоплением мочевой кислоты в организме, что приводит к образованию кристаллов в суставах. Основными причинами развития подагры являются неправильное питание, злоупотребление алкоголем и генетическая предрасположенность. Симптомы заболевания проявляются острыми болями в суставах, особенно в области большого пальца ноги, отеками и покраснением кожи. Для диагностики подагры врачи используют анализы крови на уровень мочевой кислоты и исследование суставной жидкости. Лечение включает медикаментозную терапию для снижения уровня мочевой кислоты, а также изменения в образе жизни, такие как соблюдение диеты и увеличение физической активности. Важно, чтобы пациенты следовали рекомендациям врачей для предотвращения обострений и улучшения качества жизни.

Почему женщины реже страдают?
Подагра – это в принципе редкое заболевание. Ею страдает приблизительно 3 человека из 1 тыс. Но даже при таком раскладе в основном встречается у мужчин. Почему подагра у женщин – это более редкое явление?
Согласно статистике, подагрическим артритом в основном страдает старшее поколение, то есть женщины, которые перешагнули порог 50 лет. Приблизительно в этом возрасте наступает постменопаузный период, прекращается выработка яичниками эстрогена.
Женский гормон способен выводить из организма соли мочевой кислоты. Именно поэтому у девушек детородного возраста не появляется подагра.
Что может вызвать заболевание:
- Лишний вес. Дело в том, что многие пожилые люди страдают ожирением из-за гормонального сбоя.
- Сердечно-сосудистые болезни. В зону риска попадают те, кто страдает гипертонией, ведь она сильно поражает почки.
- Препараты из групп гипотиазидов и бета-адреноблокаторов. Они помогают снизить давление, но систематическое применение иногда приводит к развитию патологического процесса в суставах. Не стоит также увлекаться ацетилсалициловой кислотой, медикаментами на ее основе.
Есть другие причины подагры. Связаны они со злоупотреблением таких продуктов, как мясные полуфабрикаты, шоколад и пирожные, колбасы и другие копчения, крепкий чай, кофе, алкоголь.
У более молодых женщин болезнь может возникнуть, но это редкое явление. Спровоцировать ее может как сахарный диабет, так и сильное нарушение гормонального фона, когда снижается уровень эстрогена. Вероятность увеличивается, если есть наследственная подоплека.
В зону риска попадают взрослые женщины, страдающие лишним весом, имеют проблемы с почкой, вынуждены сидеть на препаратах от давления. Поэтому им в первую очередь необходимо позаботится о своем здоровье, и по возможности изменить образ жизни.
Признаки
К ревматологу больные приходят с жалобами на давящую боль в каком-либо суставе (чаще подагра поражает 1 сустав), которая с наступлением ночи только усиливается. Бывает так, что даже соприкосновение с легкой простыней вызывает сильные мучения. Но это характерно для острых приступов.
Картину подагры условно можно поделить на 4 стадии:
- На первой стадии признаки подагры на ногах практически незаметны. Иногда в суставе может возникнуть неприятное ощущение, но быстро исчезает.
- 2 стадия называется подагрическим артритом в острой форме. Именно в этот период болезнь начинает проявляться: для нее характерны так называемые приступы подагры. В это время участок вокруг пораженного сустава краснеет, распухает. Кожа приобретет либо ярко-красный, либо багряный оттенок. Также возникает чувство, что сустав «горит огнем». Иногда может подняться температура не только возле воспаленного участка, но и местная температура тела (иногда и до 40).
- 3 стадия – это межкритический период, фаза ремиссии. Приступов, сильных болей не будет, многие даже думают, что болезнь отступила. Но на самом деле это лишь временное затишье.
- 4 стадия – хроническая форма. Приступы случаются очень часто, в результате чего суставный хрящ потихоньку разрушается. Также образуется в близлежащих костях полость, которую практически полностью заполняют кристаллы солей мочевой кислоты. Также откладываются у человека под кожей – тогда появляется тофус (твердый узел).
Первые приступы непродолжительные, легко залечиваются. Но через время обезболивающие таблетки практически перестают действовать, и тогда приступы возобновляются. Причем они стают длиннее, сокращается промежуток между ними (если между первым и вторым проходит 8 месяцев, то потом повторяются несколько раз в неделю).
Симптомы подагры у мужчин и женщин немного схожи, а вот протекание болезни разное. Например, у мужчин может быть одновременно поражено 2 и больше суставов, причем в них боль настолько сильная, что терпеть ее сложно. У женщины затрагиваются рядом расположенные суставы лишь при отсутствии должного лечения.
Подагра — это заболевание, которое вызывает много дискуссий среди людей, особенно среди тех, кто столкнулся с его проявлениями. Основной причиной подагры является накопление мочевой кислоты в организме, что приводит к образованию кристаллов в суставах. Симптомы обычно включают сильные боли, отеки и покраснение в области пораженного сустава, чаще всего это большой палец ноги. Многие отмечают, что приступы могут возникать внезапно, особенно после употребления определенных продуктов, таких как красное мясо и алкоголь.
Диагностика подагры включает анализы крови на уровень мочевой кислоты и исследование суставной жидкости. Лечение часто начинается с нестероидных противовоспалительных препаратов для облегчения боли, а также с изменения диеты и образа жизни. Некоторые пациенты делятся положительным опытом использования медикаментов, которые помогают контролировать уровень мочевой кислоты. Важно, чтобы люди, страдающие от подагры, следили за своим состоянием и консультировались с врачом для выбора наиболее эффективной терапии.
Как протекает у мужчин?
Подагра у мужского населения протекает тяжело. Во-первых, болезнь сопровождается сильными болями, из-за чего сустав практически обездвижен. Во-вторых, процесс развивается очень быстро, и если не заняться лечением, то в течение года может перейти в хроническую форму.
Основная особенность протекания болезни: одновременно может поражать несколько суставов. Например, большой палец правой ноги и палец на левой руке.
Признаки подагры у мужчин:
- Болезненность сустава. Если у женщины боль быстро отступает, то мужчина может страдать и неделю.
- Обострение, во время которого будет самая сильная боль, в среднем длится 2 часа.
- Покраснение, воспаление вокруг сустава.
- Повышение температуры.
Есть возможность предугадать начало приступа. Перед острым состоянием могут возникнуть:
- Перепады настроения.
- Отсутствие аппетита.
- Тошнота.
- Изжога.
- Нервозность, раздражительность.
- Общая слабость.
При хронической форме подагры, когда образовались тофусы, при движении суставом слышно пощелкивание, область вокруг него постоянно воспаленная, при пальпации болит. Кроме того, пораженная конечность постепенно теряет подвижность.
При первых же признаках болезни необходимо проконсультироваться с ревматологом. Он назначит лечение, которое приостановит развитие подагры, облегчит ее протекание.
Симптомы у женщин
Подагрический артрит у женщин протекает менее болезненно, мягче. Острые приступы их беспокоят реже, не так часто образуются в кости пробойники, тофусы. Женская подагра сопровождается нерезкими постоянными болями, возникает покраснение, припухлость в области пораженного сустава.
Симптомы подагры у женщин:
- Первые признаки – это болезненные ощущения в животе и суставах, дискомфорт. Жалуются также на частое мочеиспускание, бессонницу.
- Через время начинаются приступы. Они могут сопровождаться общей слабостью, ознобом и тошнотой.
- Третья стадия проходит вообще бессимптомно. У больной может даже возникнуть иллюзия полного выздоровления. Но это лишь предвестник более тяжелой формы болезни.
- В итоге болезнь становится хронической. Но даже эта стадия протекает легче. Если у мужчин часто поражаются внутренние органы, то женская подагра лишь в редких случаях затрагивает почки.
У больных возникают проблемы с обменом веществ, сердечно-сосудистые нарушения, которые сопровождаются гипертонией, ожирением, повышенным сахаром. Изменения затрагивают и внешний вид. Меняется тембр голоса (стает грубым), развивается мускулатура. Отмечают также гирсутизм и проявление мужских черт лица.
При хронической форме помимо покраснения и припухлости появляется общее недомогание, шелушение кожи, поднимается температура. Боль интенсивная, конечность практически не двигается. Некоторые больные жалуются на раздражительность и резкую перемену настроения.
Симптомы у подагры в основном ярко выражены, но все равно врачи назначают дополнительное обследование.
Диагностика
Диагноз «Подагра» нельзя поставить на основании одних лишь жалоб и общей картины. Дело в том, что симптомы могут быть характерны и для других болезней. Если назначить неправильное лечение, то можно лишь сильнее навредить человеку.
Подагрический артрит проявляется практически так же, как:
- Псевдоподагра (другое ее название кальциевая подагра). Отличие заключается в том, что эта болезнь может поразить одновременно несколько суставов, причем редко задевает мелкие. Приступы случаются чаще осенью (у подагрического артрита первые приступы припадают на весну).
- Ревматоидный артрит можно перепутать с хронической формой подагрического. Чтобы выяснить какая болезнь поразила сустав, необходимо провести ряд лабораторных исследований, а также идентифицировать кристаллы.
- Артроз или остеоартрит пальцевых суставов у женщины врач подозревает лишь потому, что при подагрическом артрите участок вокруг пораженного сустава сильнее увеличивается.
- Иногда врач может заподозрить инфекционный артрит. К нему относят вирусный, бактериальный, грибковый, туберкулезный артрит, болезнь Лайма, остеомиелит.
- У людей, страдающих сахарным диабетом, при обследовании ревматолог может предположить раннюю стадию болезни «Стопа Шарко».
- Можно перепутать подагру большого пальца на стопе с бурситом большого пальца.
Для каждого заболевания разработана специальная методика лечения. Если случайно перепутать болезнь и назначить другое лечение, то последствия будут плачевны. Именно поэтому окончательный диагноз врач не поставит, пока у него не будет результатов анализов.
Синовиальная жидкость
Одним из точных методов диагностирования подагры является медицинская экспертиза синовиальной жидкости, которая заполняет околосуставную оболочку. Причем проводить пункцию можно не только в моменты приступа, но и в промежутке между ними.
Чтобы выяснить какой воспалительный процесс поразил сустав, анализируется объем жидкости, ее мутность, цвет и вязкость.
Если причиной является подагрический артрит, то при тестировании обнаружатся кристаллы мононатриевых уратов.
Анализ мочи

Дополнительно сдают анализ мочи. Он выявит оксалат, белок (у здорового человека данные элементы отсутствуют), много уратов натрия.
Иногда врач, пересмотрев результаты экспертизы, подозревает мочекаменное заболевание почки, рак крови, пневмонию, вирусный гепатит, эпилепсию, серповидно-клеточную анемию.
Анализ крови
Для подагры характерно увеличение количества уратов натрия в крови. Поэтому чтобы определить уровень мочевой кислоты, делают анализ крови. При заболевании можно обнаружить лейкоцитоз, повышение креатина и, конечно, значительное превышение солей.
Часто больные приходят к врачу, когда уже начался приступ. Но в этот период показатель уратов может и не быть повышенным. Поэтому обязательно делают анализ и в промежутке между приступами.
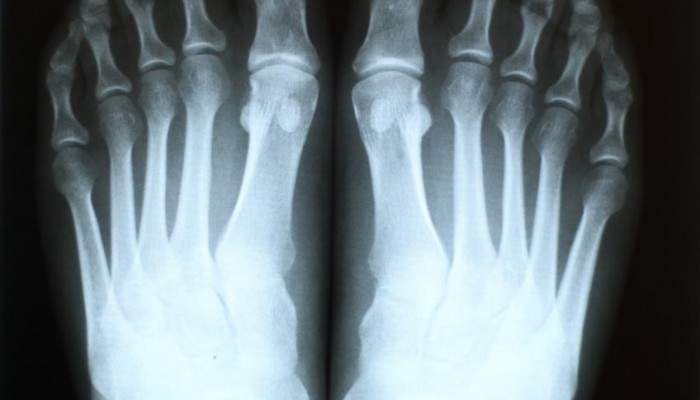
Рентгенография
При хронической форме проводят рентген. На ранних сроках подагры (приблизительно 1 год с начала болезни) не делают потому, что на снимке изменения не будут видны.
Что показывает рентген при хронической подагре:
- В субхондральных костях обнаруживаются тофусы. Иногда в мягкой ткани можно увидеть уплотнение.
- На поверхности сустава мелкая киста, крупная эрозия вблизи него. Характерны уплотнения с кальцификатами поблизости сустава.
- Эпифиза остеолиз; обширная эрозия, которая затрагивает 1/3 сустава; уплотнение с известью.
Литические эрозии являются признаком и других болезней: амилоидоза, гиперлипопротеинемия IIA типа, мультицентрический ретикулогистиоцитоз. Поэтому врач обращает внимание на такие детали:
- Размер суставной щели (при подагре 69,70).
- Периартикулярная остеопения (должна отсутствовать).
- Располагается поза суставной капсулы.
Подагрические эрозии, как правило, локализуются недалеко от дистального сустава, распределение должно быть асимметричным. Кроме того, присутствует склеротическая граница.
Другие методы
Идентифицировать тофусы можно при помощи расширенных методов визуализации, таких как магнитно-резонансная и компьютерная томографии. Дополнительно делается ультразвуковая допплерография. Также рекомендуется сделать УЗИ эндокринных желез, сосудов, сердца. В обязательном порядке обследуются почки на степень их поражения.
Лечение

Подагрический артрит – это заболевание, связанное с избытком в организме мочевой кислоты. Поэтому если у человека подагра, лечение основывается на регулировании количества уратов. Также в задачу входит снятие болевого синдрома во время обострения.
К сожалению, полностью вылечить болезнь на сегодняшний день не удается. Можно только приостановить ее развитие, облегчить боль в суставах.
Методы лечения:
- Медикаментозная терапия, которая поможет снизить уровень мочевой кислоты.
- Медикаментозная терапия, основанная на противоотечных и обезболивающих препаратов.
- Аппаратное лечение.
- Предупреждение приступов.
- Диета.
- Народные средства, включая травяные ванны.
Чаще всего врачи рекомендуют лечить болезнь, используя не только медикаменты, но и народные средства. Обязательно нужно соблюдать диету.
Препараты, снижающие мочевую кислоту
Главная задача терапии – не допускать повышения мочевой кислоты. Приблизительно у 90% больных в результате такого лечения реже происходят приступы боли в суставе, что значительно облегчает жизнь.
Какими медикаментами можете воспользоваться:
- Аллопуринол. Противопоказан тем, у кого выявлена почечная недостаточность.
- Фебуксостат. Относится к селективным ингибиторам ксантиноксидазы. Выводится из организма при помощи печени, а потому его могут принимать пациенты с различными почечными патологиями.
- Пеглотиказа. Назначают больным, которым не подходят другие традиционные препараты.
- Пробенецид. Он способствует выведению, а не предотвращению синтеза солей, поэтому целесообразен при ремиссии. Вместе с ним необходимо принимать гормональные и противовоспалительные препараты.
Эти препараты влияют только на выработку и выведение из организма уратов, но не снимают боль, когда происходят приступы.
Обезболивающие медикаменты
Основные жалобы больных – невыносимая боль в суставе. Симптоматическое лечение подагрического артрита основано на купировании приступов, предотвращении боли, снятии отеков.
Какие лекарства назначает ревматолог:
- Колхицин. Он относится к средствам скорой помощи, а потому принимать его нужно в течение 12 часов с момента начала приступа. Побочные эффекты: жидкий стул, тошнота, рвота.
- Препараты из группы Глюкокортикоиды. Таблетки являются синтетическим аналогом гормонов надпочечников. Назначают в крайних случаях, потому как подавляется иммунитет.
- Противовоспалительные нестероидные медикаменты. Чаще всего назначают Диклофенак, Ибупрофен. Можно также применить Аспирин, Анальгин.
Только врач может подсказать, какие препараты, и в каких дозировках следует вам принимать. Самолечением не занимайтесь – так вы только больше себе навредите.
Народные способы
Подагрой люди начали страдать давно. Поэтому известно множество способов унять боль и облегчить ее протекание: примочки, припарки, настойки, отвары.
Действенными считаются специальные травяные ванны. Сборы можно приготовить из таких растений:
- Корень крапивы.
- Мыльнянка.
- Овсяная солома.
- Ветки сосны.
- Шалфей.
- Ромашка.
- Листья смородины и т. д.
Помогают массажи (только не делайте при острой форме болезни). Для этого погладьте, разотрите участок вокруг сустава, потом и его самого.
Обязательное условие лечения – соблюдение диеты. Измените свой рацион, исключив из него продукты, провоцирующие синтез мочевой кислоты.
Не игнорируйте рекомендации врача. Если подагру не лечить, то придется готовиться к операции.
Вопрос-ответ
Как понять, что у тебя подагра?
Подагра проявляется резкой болью, отеком и покраснением в суставах, чаще всего в большом пальце ноги. Симптомы могут возникать внезапно, особенно ночью, и сопровождаются повышением температуры. Для подтверждения диагноза рекомендуется обратиться к врачу, который может назначить анализы крови на уровень мочевой кислоты и провести рентген или ультразвуковое исследование суставов.
Как избавиться от подагры раз и навсегда?
Полностью вылечить подагру нельзя. С помощью поддерживающей терапии и соблюдения медицинских рекомендаций, контроля питания можно купировать болезненные приступы, их интенсивность и регулярность возникновения. Для подагры клинические рекомендации заключаются в применении фармакологических и немедикаментозных методик.
Как выглядит начальная стадия подагры?
Первую стадию подагры описывают как гиперурикемию (повышенное содержание мочевой кислоты в крови). Гиперурикемия выявляется с помощью биохимического анализа крови. При этом в большинстве случаев иных симптомов заболевания не обнаруживается. Иногда могут наблюдаться общая слабость, потливость, зуд кожи, запоры.
Что хорошо выводит мочевую кислоту из организма?
Цитрусовые, огурцы очень хорошо выводят мочевую кислоту. Из овощей и фруктов необходимо ограничить оранжевые. Исключить шпинат, щавель. Из фруктов и ягод не показаны: слива, малина, инжир, виноград.
Советы
СОВЕТ №1
Следите за своим питанием. Избегайте продуктов, богатых пуринами, таких как красное мясо, морепродукты и алкоголь, особенно пиво. Вместо этого включайте в рацион больше овощей, фруктов и нежирных молочных продуктов.
СОВЕТ №2
Поддерживайте оптимальный уровень гидратации. Пить достаточное количество воды помогает снизить уровень мочевой кислоты в организме и уменьшить риск обострений подагры. Рекомендуется выпивать не менее 2 литров воды в день.
СОВЕТ №3
Регулярно занимайтесь физической активностью. Умеренные физические нагрузки, такие как ходьба, плавание или йога, могут помочь поддерживать здоровый вес и улучшить общее состояние здоровья, что важно для контроля подагры.
СОВЕТ №4
Не игнорируйте симптомы. При появлении болей в суставах, особенно в области большого пальца ноги, обратитесь к врачу для диагностики и назначения соответствующего лечения. Раннее вмешательство может предотвратить серьезные осложнения.







