В повседневной жизни многим людям приходится сталкиваться с болью в ногах. Этот симптом далеко не всегда является результатом переутомления и длительной ходьбы. Он может свидетельствовать об определенной патологии опорно-двигательного аппарата. И в этом контексте следует обратить внимание на стопу, в частности, на большой палец, ведь на нем часто появляется шишка-«косточка». Так в народе именуется вальгусная деформация – заболевание, которое может принести достаточно неприятностей и ограничений активному человеку. Почему оно появляется и что необходимо предпринимать для его излечения, подскажет врач.
Причины
Стопа играет важную роль в передвижении человека, выполняя опорную и амортизирующую функцию. Ежедневно она подвергается нагрузкам, связанным с перемещением тела в пространстве. Когда человек длительное время находится на ногах, переносит тяжести, да еще в неудобной обуви, это неблагоприятно отражается на состоянии стопы и пальцев. А у женщин, которые любят ходить на высоком каблуке, вальгусная деформация появляется в разы чаще, чем у мужчин. Ситуация усугубляется при таких состояниях:
- Избыточный вес.
- Плоскостопие.
- Травмы стопы.
- Гормональные изменения.
- Врожденные деформации.
- Нервно-мышечная патология.
- Наследственная предрасположенность.
Под воздействием этих факторов происходит смещение большого пальца наружу, а первая плюсневая кость при этом отклоняется внутрь. Из-за неправильного распределения нагрузки нарушается биомеханика стопы, ослабляются связки и мышцы. Возрастает давление на головку плюсневой кости, в суставе развивается артрозоартрит, что способствует образованию плотного нароста сбоку – вот почему появляется «косточка».
Если растет «шишка» около большого пальца стопы, не стоит ждать, пока появятся боли – нужно обращаться к врачу. Только он поможет определить причину и не допустить дальнейшего развития патологии.
Врачи отмечают, что боль в косточке на большом пальце ноги часто связана с развитием бурсита илиHallux Valgus, что представляет собой деформацию сустава. Основными факторами, способствующими этому состоянию, являются ношение неудобной обуви, генетическая предрасположенность и избыточный вес. Специалисты подчеркивают, что неправильная обувь, особенно с узким носом и высоким каблуком, создает дополнительное давление на сустав, что приводит к воспалению и болевым ощущениям. Важно также учитывать возрастные изменения, которые могут усугублять ситуацию. Врачи рекомендуют своевременно обращаться за медицинской помощью, чтобы предотвратить дальнейшее ухудшение состояния и рассмотреть варианты лечения, включая физиотерапию и, в некоторых случаях, хирургическое вмешательство.

Симптомы
Клиническая картина вальгусной деформации зависит от ее стадии. Но многие люди, к сожалению, не обращают внимания на состояние стопы до тех пор, пока не появятся выраженные симптомы. Незначительный дискомфорт в ноге может списываться на длительную ходьбу или неудобную обувь. Но со временем появляются все более серьезные проявления, которые и становятся причиной для обращения к врачу.
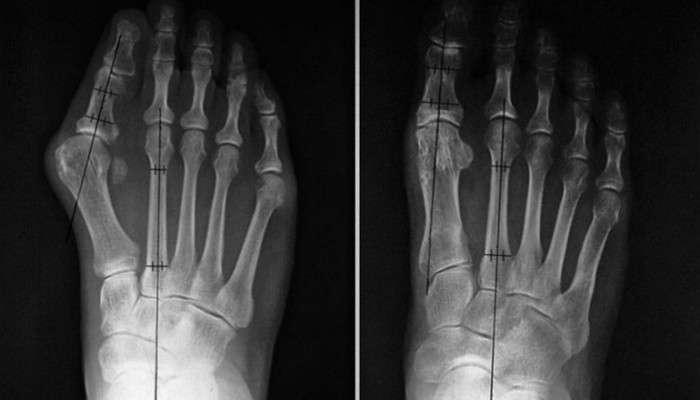
Стадия патологического процесса определяется путем измерения суставного угла между большим пальцем и первой плюсневой костью. В соответствии с этим вальгусная деформация проходит несколько стадий:
- Первая: менее 25 градусов.
- Вторая: 25–35 градусов.
- Третья: более 35 градусов.
Вначале беспокоят лишь незначительные неудобства при ношении обуви, которые могут сопровождаться небольшим покраснением и отечностью в области первого плюснефалангового сустава (признаки бурсита). Потом появляются ноющие или жгучие боли после длительной ходьбы, особенно на высоких каблуках. По мере усиления деформации они становятся практически постоянными, из-за чего становится невозможным носить любую обувь. «Косточка» все более выступает, деформируются и другие пальцы стопы. На последней стадии болезненные ощущения сохраняются даже в покое.
При этом заболевании стопа теряет свою физиологическую форму: она заметно уплощается и расширяется. Во время ощупывания около плюснефалангового сустава определяется костный нарост – экзостоз. Кожа над ним уплотнена, отечна, болезненна. Активные движения в большом пальце ограничены, а при пассивном разгибании появляются неприятные ощущения.
«Косточка» на большом пальце – это не только косметическая, но и важная медицинская проблема. Деформация стопы приводит к нарушению всех ее функций.
Диагностика
Чтобы оценить степень патологических изменений в стопе, необходимо провести дополнительное обследование. Оно состоит из инструментальных методов визуальной диагностики. «Косточка» сбоку большого пальца хорошо видна при таком исследовании:
- Рентгенография.
- Магнитно-резонансная томография.
- Компьютерная томография.
На снимках определяется не только деформация костных структур, но и артрозные изменения в плюснефаланговом суставе: сужение суставной щели, неровность ее контура, остеофиты. Обязательна консультация ортопеда-травматолога.
Многие люди сталкиваются с проблемой боли в косточке на большом пальце ноги, и мнения по этому поводу весьма разнообразны. Некоторые утверждают, что причиной является неправильная обувь, особенно узкие туфли на высоком каблуке, которые сжимают пальцы и вызывают дискомфорт. Другие связывают боль с возрастными изменениями, когда суставы становятся менее подвижными и начинают воспаляться.
Некоторые делятся опытом использования народных средств, таких как компрессы с травами или специальные ванночки, которые помогают облегчить состояние. В то же время, многие рекомендуют обратиться к врачу, чтобы исключить более серьезные заболевания, такие как артрит или бурсит. Важно помнить, что игнорирование боли может привести к ухудшению ситуации, поэтому стоит внимательно относиться к сигналам своего организма и не стесняться искать помощь.

Лечение

Если растет и болит «косточка» на большом пальце ноги, то нельзя терять время. Сразу после проведения диагностических мероприятий необходимо приступать к лечению. Терапевтическая программа формируется врачом исходя из стадии заболевания и особенностей организма пациента. Она может включать консервативные и хирургические методики.
Ортопедическая коррекция
Проблемы опорно-двигательного аппарата и особенно стопы, требуют правильного распределения нагрузки. Поскольку человек не может вести полноценную жизнь без движений, нужно добиться максимальной коррекции вальгусной деформации именно за счет нормализации давления на структуры стопы. В этом помогают как общие рекомендации по изменению образа жизни, так и ортопедические средства:
- Борьба с лишним весом.
- Специальная обувь.
- Межпальцевые прокладки, вкладыши, валики.
- Корректирующие стельки, супинаторы.
- Бандаж для пальцев стопы.
- Ортезы для большого пальца.
С помощью ортопедической коррекции можно значительно улучшить структуру стопы и уменьшить «шишку» в области большого пальца.
Медикаментозная терапия
Если при вальгусной деформации беспокоят выраженные боли, то необходимо использовать лекарственные средства. Они также помогают бороться с воспалением и артрозными изменениями в суставе. В основном рекомендуют применять нестероидные противовоспалительные средства (Диклоберл, Фламакс, Нимесил) и хондропротекторы (Дона, Артрон, Терафлекс). Широкой популярностью пользуются местные формы лекарств – мази, гели, крема (Диклак, Троксевазин, Кетонал, Шунгит-крем). Но применение даже таких препаратов должно проводиться по рекомендации врача.
Физиотерапия
Воспаление, которое сопровождает вальгусную деформацию большого пальца, помогают устранить методы физического воздействия на ткани. Происходит нормализация биохимических процессов, улучшается кровоток в пораженной зоне, что способствует уменьшению локальных симптомов и восстановлению хрящевой ткани. Если появилась «косточка» на стопе, то традиционное лечение может включать такие процедуры:
- Электро- или фонофорез.
- Волновая терапия.
- Лазерное лечение.
- Магнитотерапия.
- Парафинотерапия.
- Бальнеотерапия.
Для каждого пациента специалист назначит оптимальный курс лечения процедурами. Максимальный эффект достигается при сочетании физиотерапии с другими методами.
Массаж
Эффективным средством для улучшения кровоснабжения тканей, устранения усталости и расслабления мышц послужит массаж стоп. Его можно выполнять даже самостоятельно, предварительно обучившись необходимым приемам. Массируют подошву, наружный свод, а также непосредственно саму «косточку». Движения выполняют снизу вверх: от пальцев к пятке и голени. Используют такие элементы массажа:
- Поглаживание.
- Растирание.
- Разминание.
- Надавливание.
Это рекомендуют проводить перед активными упражнениями, используемыми в лечебной гимнастике, и после них.
Лечебная гимнастика
При заболеваниях опорно-двигательного аппарата и вальгусной деформации в частности, эффективным средством лечения считают гимнастику. Упражнения помогают восстановить биомеханику стопы, объем движений в пальцах, исправить искривления. Кроме того, при регулярных занятиях исчезают неприятные симптомы, сопровождающие заболевание. В основном рекомендуют выполнять такие упражнения для стопы:
- Захватывание пальцами бумажного листа, мелких предметов.
- Сгибание, разгибание, разведение пальцев.
- Растягивание резинки большими пальцами.
- Вращения в голеностопном суставе.
- Ходьба на наружном крае стопы.
Гимнастика легко проводится в домашних условиях. Каждый пациент должен проявить настойчивость и терпение, ведь исправление деформации – это достаточно длительный процесс.
Операция
Полное устранение «косточки» на стопе возможно лишь хирургическим путем. Объем оперативного вмешательства определяется стадией вальгусной деформации. Выполняют вмешательство на мягких тканях или костях, благодаря которому удаляют патологические разрастания и фиксируют пальцы в анатомически правильном положении. После этого необходимо носить специальный ортез и пройти курс реабилитационных мероприятий, включающих массаж и лечебную гимнастику.
Появление «косточки» в области большого пальца должно стать сигналом к изменению образа жизни и проведению коррекции вальгусной деформации. Устранить этот косметический дефект и восстановить нормальную функцию стопы помогут различные методы лечения, которые соответствуют тяжести болезни. Легкость походки и красота ног зависят от бережного отношения к своему здоровью и своевременного обращения к врачу.
Вопрос-ответ
Что делать, если болит косточка на большом пальце ноги?
Если вы обратили внимание, что у вас на ноге болит косточка около большого пальца, необходимо обратиться к травматологу-ортопеду. Чем раньше вы это сделаете, тем больше шансов избежать серьезных последствий и операции.
Какая мазь помогает от косточки на ноге?
Крем «Вальгусстоп» начинает работать моментально. Облегчит симптоматику, ускорит выздоровление. Средство показано для коррекции выпирающих косточек на ногах. Его активными веществами являются: медицинская желчь, салициловая кислота, мочевина.
Как называется болезнь, когда болит косточка на ноге?
Сегодня hallux valgus является одним из самых распространенных отклонений стопы — его даже называют болезнью XXI века. Hallux valgus сопровождается неприятными ощущениями и болезненными деформациями, так называемыми «косточками» большого пальца ноги.
Можно ли мазать йодом косточки на ногах?
Сразу скажем, ответ на вопрос вроде «Можно ли вылечить косточку на ноге йодом?» отрицательный. Это касается и других домашних средств; они могут только на время уменьшить болезненные ощущения.
Советы
СОВЕТ №1
Обратите внимание на обувь. Неподходящая или слишком узкая обувь может усугубить боль в косточке. Выбирайте модели с широким носом и хорошей поддержкой, чтобы снизить давление на суставы.
СОВЕТ №2
Регулярно выполняйте упражнения для стоп. Упражнения, направленные на укрепление мышц и связок ног, могут помочь улучшить гибкость и снизить нагрузку на суставы. Попробуйте растяжку пальцев и массаж стоп.
СОВЕТ №3
Используйте ортопедические стельки или специальные накладки. Они могут помочь перераспределить нагрузку на стопу и уменьшить дискомфорт, особенно если вы много времени проводите на ногах.
СОВЕТ №4
Не игнорируйте симптомы. Если боль не проходит или усиливается, обратитесь к врачу. Специалист сможет оценить состояние вашего сустава и предложить подходящее лечение, включая физиотерапию или медикаменты.




