Впервые о болезни, проявляющейся острыми болями в области большого пальца на одной из ног записал Гиппократ. Было это 2500 лет назад. С того времени к нам дошел сам термин, которым древнегреческий врач характеризовал заболевание: подагра (греч. πούς — нога и ἄγρα — захват) – капкан, ловушка для стопы.
Внешние проявления

Характерная клиника позволяет заподозрить диагноз, основываясь на жалобах больного, данных опроса и осмотра. А вот для точного вывода, потребуются результаты инструментальных и лабораторных методов исследований. Впервые же задуматься о подагре, заставляют такие признаки:
- Острый приступ артрита на одной из ног. Внезапно возникает рвущая, нестерпимая боль в плюснефаланговом сочленении первого пальца одной стопы.
- Болевой синдром очень интенсивный, купировать его не в состоянии даже анальгетики. Самостоятельно стихает к утру. Длительность болевой атаки от двух до десяти дней.
- Типичны обострения 1–2 раза в год. Постепенно в процесс вовлекаются другие суставы.
- Сначала артрит имеет характер интермиттирующего: в периоде между приступами, функция суставов полостью восстанавливается.
Спустя 4–5 лет, сначала в области ушных раковин, а затем – суставных поверхностей крупных суставов, появляются отграниченные, желто-белые бугорки (тофусы), которые содержат внутри мелкие кристаллы мочевой кислоты в виде творожистой массы. С развитием таких явлений говорят уже о хроническом подагрическом артрите и подагрическом статусе.
Кроме суставов, эта болезнь пуринового обмена поражает и внутренние органы, поэтому оставлять ее без внимания нельзя.
Характерная клиническая картина отмечается примерно в 80% случаев заболевания. И даже если она появилась, то нужно помнить, что любые внешние симптомы являются лишь вершиной айсберга. Причиной их появления служат очень серьезные нарушения, связанные с обменом веществ.
Если клиника указывает на подагру, лабораторные анализы позволят точно верифицировать диагноз. Также они помогут выбрать наиболее эффективную схему терапии, выявить нарушения в деятельности внутренних органов, спровоцированные заболеванием.
Врачи подчеркивают, что диагностика подагры требует комплексного подхода, включающего как лабораторные анализы, так и инструментальные исследования. Основным анализом является определение уровня мочевой кислоты в крови, так как его повышение часто указывает на подагру. Однако, для подтверждения диагноза, важно также провести анализ суставной жидкости, который позволяет выявить кристаллы мочевой кислоты. Инструментальные исследования, такие как ультразвуковое исследование суставов, помогают визуализировать изменения, связанные с заболеванием. Врачи отмечают, что ранняя диагностика и правильное определение стадии болезни играют ключевую роль в успешном лечении подагры и предотвращении ее осложнений.

Лабораторная диагностика
Для достоверной диагностики и начала лечения подагры, данные визуальных наблюдений нужно подкреплять изучением крови, мочи, синовиальной жидкости и другими исследованиями.
Согласно рекомендациям ВОЗ, диагноз подагры подтверждается такими анализами и исследованиями:
- Изучение синовиальной жидкости на предмет характерных кристаллов моноуратов.
- Визуальная оценка содержимого тофусов.
- Рентгенологическое исследование пораженных мест.
Обязательно изучается кровь (клинически и биохимически). Анализ мочи назначается при подозрении на поражение почек и для контроля терапии. Полученные данные должны сочетаться с характерными клиническими проявлениями.
Кровь из пальца
Общий анализ крови позволит что-то обнаружить только в период обострения. В стадии ремиссии, показатели красной и белой крови соответствуют норме. Сделав его в нужное время, можно обнаружить:
- Увеличение количества белых кровяных телец (лейкоцитоз).
- Сдвиг лейкоцитарной формулы влево (появление большого числа молодых нейтрофилов).
- Возрастание скорости оседания эритроцитов.
Такие данные просто указывают на то, что в организме наблюдается какой-то воспалительный процесс. Могут дать косвенную информацию относительно активности заболевания на текущий момент.
Диагностика подагры вызывает много обсуждений среди пациентов и специалистов. Многие отмечают, что анализы крови на уровень мочевой кислоты являются основным инструментом для выявления этого заболевания. Однако не все понимают, что высокий уровень кислоты не всегда свидетельствует о подагре, и иногда требуется дополнительное обследование. Инструментальные исследования, такие как ультразвуковое исследование суставов, помогают визуализировать кристаллы мочевой кислоты и оценить состояние суставов. Некоторые пациенты делятся своим опытом, что своевременная диагностика и правильные анализы помогли избежать серьезных осложнений. Важно помнить, что комплексный подход к диагностике позволяет врачам точно определить заболевание и назначить эффективное лечение.

Кровь из вены
Берется для проведения биохимического исследования. Достаточно ценный и универсальный источник данных. Для диагностики подагры имеет важность показатель уровня мочевой кислоты в крови. Если ее содержание повышено, говорят об гиперурикемии.
Содержание мочевой кислоты должно быть выше нормы: больше 0,42 мкмоль/л для мужчин и 0,36 мкмоль/л для женщин. Однако выставлять диагноз, основываясь на гиперурикемии, будет поспешным.
У человека может быть очень значительное превышение уровня мочевой кислоты в крови и при этом могут напрочь отсутствовать клинические симптомы подагры. В то же время, на фоне активного подагрического приступа, уровень мочевой кислоты в крови может снижаться.
Так что эти цифры всего лишь указывают на то, что в организме есть проблемы с обменом пуриновых оснований. Значительную ценность эти данные приобретают с началом терапии, так как позволяют выбрать оптимальную медикаментозную схему и контролировать эффективность лечения.
Микроскопия суставной жидкости и тофуса
Визуальному изучению при помощи микроскопа подлежат синовиальная жидкость и содержимое тофусов.
Необходимый образец суставной жидкости можно получить при пункции пораженного сустава. Диагноз подагры подтверждается обнаружением в образце кристаллов соли мочевой кислоты – моноурата натрия.
Обычно исследуемый образец берут из коленного сустава. Для этого есть четыре немаловажные причины:
- Суставная полость легко доступна для взятия пробы.
- Это самый крупный среди всех суставов человеческого тела.
- К тому же эти суставы очень часто поражаются при любых артропатиях. В том числе и при подагре, что важно для дифференциальной диагностики.
- Даже если заболевание лишь слегка затронуло колено, количество синовиальной жидкости в полости сустава уже будет несколько выше нормы, что тоже облегчает пункцию.
Для исследования нужно совсем немного жидкости: столько, чтобы можно было капнуть на предметное стекло. Используется метод поляризационной микроскопии, который позволяет по внешнему виду отличить моноураты от других кристаллических образований.
Однако и этот метод имеет слабые места. Возможно получение ложных результатов, если:
- В образце малое содержание кристаллов (меньше 10 мкг/л) и они не попадаются в поле зрения.
- Образования чересчур мелкие, тогда их сложно идентифицировать.
- Попадаются другие артефакты, которые можно принять за моноураты.
- Требуется единовременно большое количество исследований: специалист должен просмотреть не менее 30 полей зрения в каждом образце, что очень утомительно для зрения.
Тот же метод исследования применяется и для изучения содержимого подагрических узелков – тофусов. Правда, они появляются спустя 4–5 лет с момента начала заболевания, и к этому времени диагноз неплохо бы уже установить.
Узелки содержат большое количество кристаллов, которые несложно идентифицировать. Кстати, микроскопия содержимого тофуса – один из надежных методов дифференциальной диагностики подагры и туберкулеза кожи.
Определение типа заболевания
Несмотря на то что изолированное повышение уровня мочевой кислоты в крови, выявляемое при биохимическом исследовании, представляет незначительную диагностическую ценность, этот анализ может подсказать тактику лечения.
Если диагноз окончательно верифицирован и стоит вопрос о начале терапии, то биохимия крови помогает определить тип заболевания и подобрать нужные препараты.
Для этого пациента на неделю переводят на специальную безазотистую диету, исключают алкоголь. После 7 дней подходит срок сдавать кровь на исследование уровня мочевой кислоты. Результаты трактуются таким образом:
- Высокие показатели гиперурикемии на фоне большого выделения мочевой кислоты с мочой указывают на метаболический тип подагры. Лечение начинается с урикодепрессантов.
- Умеренное содержание мочевой кислоты в крови и моче говорит в пользу почечного (гипоэкскреторного) типа подагры. Тогда лечат урикозурическими средствами.
- Если у пациента высокие цифры мочевой кислоты в крови и умеренные в моче, диагностируется смешанный тип. Назначаются препараты, обладающие эффектами обоих вышеуказанных групп.
Вместе с этим, биохимические анализы при подагре очень ценны для выявления патологии со стороны важнейших внутренних органов: почек и печени.
Инструментальные методы
Есть еще одна категория методов исследования, которые не относятся к лабораторным. Однако без их данных в диагностике подагры не обойтись. Это:
- Рентгенография.
- УЗИ.
- Компьютерная томография.
- Магнитно-резонансная томография
Каждый из них позволяет выявить те или иные характерные черты, присущие именно этой болезни. Плюс, томограмма будет полезна для диагностики поражений внутренних органов.
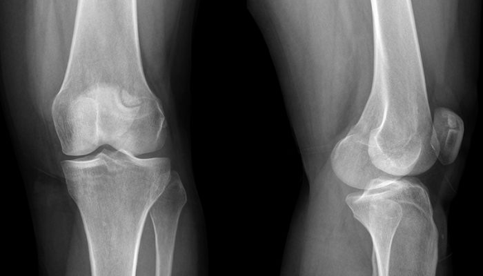
Рентгенография
С ее помощью достаточно легко можно заметить изменения костных структур. Особенно – при большом сроке болезни. Исследуются пораженные суставы.
В литературе описан и хорошо известен рентгенологам симптом «пробойника». Заключается в том, что в области суставных головок обнаруживаются округлые дефекты костной ткани, где обычная структура костей нарушена из-за отложений уратов.
Диагностическая ценность этого метода на начальных стадиях болезни сомнительна, так как симптом «пробойника» начинает визуализироваться после 6–12 лет болезни.
Ультразвук
УЗИ суставов относится к перспективным методам, так как позволяет выявить некоторые изменения в ранних фазах болезни. Известно всего два УЗИ признака, по которым можно подтвердить подагру:
- Выявление зачатков тофуса. В отличие от рентгена, УЗИ более чувствителен и позволяет обнаружить самые мелкие отложения солей. Это очень важно, так как позволяет точно определиться с необходимостью начала терапии.
- Выявление еще одной эхогенной полоски параллельно линии суставного хряща. Симптом называется «двойной контур» и объясняется тем, что кристаллы моноурата неспособны прочно связаться с поверхностью гиалинового хряща. Они его просто покрывают сверху, создавая дублирующий слой.
Доступность и возможность ранней диагностики вскоре приведет к широкому распространению УЗИ для раннего выявления подагры.
Компьютерная томография
Полезна, если аппарат современный, с высокой разрешающей способностью. Единственный недостаток – лучевая нагрузка.
Позволяет обнаружить внутрикостные, околосухожильные и локализованные в мягких тканях тофусы. Особо хороша, если есть возможность построения трехмерной модели.
Магнитно-резонансная томография
В принципе, позволяет выявлять все то же, что и КТ. Исследование необходимо проводить, если требуется дифференциальная диагностика солевых отложений с новообразованиями. В этом плане равных по информативности МРТ методов нет.
Сопутствующая патология
Для пациентов с большим стажем заболевания, требуется контроль за состоянием почти всех внутренних органов и систем.
Какие анализы сдают хронически и давно болеющие, зависит от развившихся на фоне подагры осложнений. Вторично поражаться могут такие органы и отделы:
- Печень. В ее паренхиме могут образовываться отложения солей мочевой кислоты.
- Глаза. Встречаются подагрические иридоциклиты, конъюнктивиты.
- Центральная нервная система. Иногда возникают сильные мигренозные боли.
- Сухожилия, часто — ахиллесово.
- Бронхи и кожа могут реагировать по типу аллергических проявлений (бронхоспазм и разнообразные сыпи).
- Сердечно – сосудистая система. Связь гиперурикемии и повышения уровня триглицеридов (фактора риска по атеросклерозу) прослеживается достаточно уверенно. Часто подагре сопутствует артериальная гипертензия.
- Вены – подагрические флебиты.
- Суставы позвоночника (люмбалгии, ишиалгии).
Чтобы в полной мере оценить влияние подагры на организм, потребуются дополнительные анализы, направленные на изучение функции того или иного органа. В первую очередь это касается почек. Они поражаются у всех больных с подагрой.
Подагрическая нефропатия
Под этим термином подразумевается негативное влияние подагры на почки (страдают в 30–75% случаев подтвержденных заболеваний), но их патология долгое время остается без внимания из-за скудной клинической картины. Развитая нефропатия проявляется:
- Хроническим интерстициальным нефритом. Диагноз устанавливается при лабораторном исследовании мочи.
- Образованием уратных камней (нефролитиаз). Часто обнаруживается уже на стадии пиелонефрита.
- Островозникающая блокада почек кристаллами мочевой кислоты. Клинически – картина острой почечной недостаточности.
- Появлением тофусов в тканях почек.
- Хроническим гломерулонефритом.
Первоначальные данные предоставляет анализ мочи. В нем обычно отмечается повышенное содержание солей, белка, клеток и слизи. С началом пиелонефрита присоединяется гнойный компонент.
Содержание мочевой кислоты в моче само по себе мало что означает: выше было сказано, что этот показатель более информативен в сочетании с уровнем мочевой кислоты в крови.
Итак, видно, что для установления точного диагноза подагры, требуется комплексное обследование организма с привлечением разнообразных методов. Причем просто всесторонне обследоваться – мало. Важен профессиональный анализ данных, полученных от разных методов исследования.
Если есть хоть малейшие подозрения в отношении подагры – не лечите дома больные пальцы ног, а обратитесь к врачу.
Вопрос-ответ
Какие анализы подтверждают подагру?
Биохимический анализ крови при подагре является наиболее важным, так как позволяет оценить уровень мочевой кислоты в сыворотке крови. Нормальным считается значение, не превышающее 420 мкмоль/л у мужчин, ниже (до 360 мкмоль/л) он должен быть у женщин.
Что является золотым стандартом диагностики подагры?
«Золотым стандартом» диагностики подагры служит поляризационная микроскопия (специфичность близка к 100%). Отсутствие кристаллов моноурата натрия в синовиальной жидкости не позволяет полностью исключить диагноз подагры (чувствительность только 70%).
Как диагностировать подагрический артрит?
Единственным методом, оказывающим помощь в дифференциальном диагнозе подагрического артрита, является пункция пораженного сустава. За травматический артрит будет свидетельствовать выявление гемартроза (примеси крови). Выявление кристаллов моноурата натрия позволяет диагностировать подагрический артрит.
Можно ли по анализу крови определить подагру?
Диагностика подагры. Важным диагностическим методом является анализ крови на уровень мочевой кислоты, хотя стоит отметить, что повышенный уровень мочевой кислоты не всегда означает наличие подагры. Для подтверждения диагноза часто проводится анализ синовиальной жидкости из пораженного сустава.
Советы
СОВЕТ №1
Перед посещением врача соберите всю необходимую информацию о своих симптомах. Запишите, когда и как часто возникают боли, какие суставы поражены, а также какие продукты питания вы употребляли в последние дни. Это поможет врачу быстрее поставить диагноз.
СОВЕТ №2
Не забывайте о важности анализов крови. Уровень мочевой кислоты в крови является ключевым показателем при диагностике подагры. Убедитесь, что вы сделали анализы в период обострения, так как уровень кислоты может быть нормальным в межприступный период.
СОВЕТ №3
Обратите внимание на инструментальные исследования, такие как УЗИ суставов или рентген. Эти методы могут помочь выявить отложения мочевой кислоты и оценить состояние суставов. Не стесняйтесь задавать врачу вопросы о том, какие исследования вам необходимы.
СОВЕТ №4
Следите за своим образом жизни и питанием. Уменьшение потребления продуктов, богатых пуринами (красное мясо, морепродукты, алкоголь), может помочь в контроле уровня мочевой кислоты и предотвратить обострения подагры. Обсудите с врачом подходящий для вас план питания.







