Деформирующий остеоартроз голеностопного сустава (ДОА) – тяжёлое заболевание, приводящее к инвалидности, если вовремя не начать лечение. Начальная стадия всегда протекает бессимптомно. ДОА характеризуется разрушением хряща (дегенеративные изменения), воспалением суставной капсулы, разрастанием остеофитов, ослаблением связочного аппарата.
Причины возникновения
Их много, но однозначно задуматься над состоянием своих голеностопных суставов стоит, если в течение жизни они были травмированы. Сильные подвороты ног, ушибы, растяжения связок, травмы в результате физических нагрузок приводят к тому, что в какой-то момент в тканях хряща начинаются дегенеративные процессы.
Другие причины, из-за которых возникает ДОА:
- Избыточные физические нагрузки.
- Нарушение обмена белков в составе хряща.
- Большая масса тела.
- Косолапость, плоскостопие, иные заболевания стоп.
- Наследственность.
- Предшествующие ДОА артриты – псориатический, ревматоидный, подагрический.
Заболевание бывает I, II, III и IV степени. Для каждой свойственны определённые симптомы.
Врачи отмечают, что деформирующий остеоартроз голеностопного сустава является распространённой проблемой, особенно среди пожилых людей и людей с избыточным весом. Это заболевание характеризуется постепенным разрушением хрящевой ткани, что приводит к болям, ограничению подвижности и деформации сустава. Специалисты подчеркивают важность ранней диагностики и комплексного подхода к лечению, который может включать медикаментозную терапию, физиотерапию и, в некоторых случаях, хирургическое вмешательство. Врачи также рекомендуют пациентам следить за своим весом, заниматься физической активностью и выполнять специальные упражнения для укрепления мышц вокруг сустава. Профилактика и своевременное обращение к специалистам могут значительно улучшить качество жизни пациентов и замедлить прогрессирование заболевания.

Степени остеоартроза
Существуют определённые общие симптомы, характеризующие заболевание. Это первоначальный болевой синдром. Он появляется после довольно большой нагрузки на сустав и не воспринимается иначе, как обычное переутомление. Хруст, щёлканье, скрип в голеностопе – первый звоночек при деформирующем остеоартрозе.
I и II степени
Первая степень ДОА не диагностируется никак – ни визуально, ни на рентгене нет никаких изменений. Здесь человеку важно найти грамотного специалиста, который проведёт квалифицированный опрос и выяснит, не было ли до обращения к нему каких-то травм или иных обстоятельств, из-за которых объективно в голеностопном суставе могли начаться дегенеративные изменения. Также обязательно нужно сообщить врачу о том, что «кости хрустят», а после длительных пеших прогулок или занятий спортом возникают тянущие боли голени спереди.
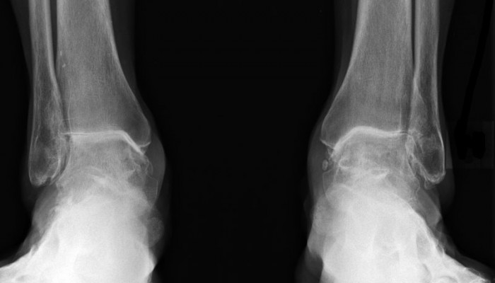
Вторая степень ДОА диагностируется как визуально, так и на рентгене. При наружном осмотре заметно увеличение сустава, его движение ограничено, хорошо слышен хруст. На рентгене диагностируется уменьшение суставной щели на 50%. Опытный врач обязательно назначит рентген в боковой проекции. На нём будет видна таранная кость. При деформирующем остеоартрозе она уплощена, а её суставная поверхность увеличена.
Деформирующий остеоартроз голеностопного сустава вызывает множество обсуждений среди пациентов и специалистов. Многие люди, столкнувшиеся с этой проблемой, отмечают, что заболевание значительно снижает качество жизни, ограничивая подвижность и вызывая постоянные боли. Некоторые пациенты делятся опытом, что с возрастом симптомы становятся более выраженными, а простые физические нагрузки, такие как ходьба или подъем по лестнице, становятся настоящим испытанием.
Врачебные рекомендации часто включают физиотерапию и медикаментозное лечение, однако не все пациенты ощущают заметное улучшение. В социальных сетях и форумах можно встретить советы о народных методах, таких как компрессы и травяные настои, которые, по мнению некоторых, помогают облегчить состояние. Тем не менее, важно помнить, что индивидуальный подход к лечению и консультация с врачом остаются ключевыми для успешного управления заболеванием.

III и IV степень
При дальнейшем развитии заболевания (III степень) сустав всё больше деформируется, суставная щель уменьшается. Наблюдается значительное ограничение подвижности. Попытка повернуть стопу в нужном направлении вызывает боль. Наблюдается явно выраженный субхондральный остеосклероз, разрастание костной ткани (остеофиты) сильное.
IV степень – повод обратиться в медкомиссию за получением инвалидности. Суставная щель полностью отсутствует. Костные образования (остеофиты) прочно фиксируют сустав в вынужденном положении. Деформация может дополняться подвывихом. Эпифизы составляющих сустав костей сильно уплотнены.
Диагностика
Каждому человеку рекомендовано ежегодно проходить полное медицинское обследование. Если пренебрегаете этим советом, будьте готовы к тому, что в какой-то момент резкая боль в голеностопном суставе возвестит о проблеме.
Первое, что сделает специалист после сбора анамнеза – отправит пациента на диагностику. Она состоит из:
- Рентгена. На нём будет видно, в каком состоянии хрящ, как наклонена ось больного сустава, поражены ли близлежащие суставы. На основании картины специалист поймёт, что стало причиной начала дегенеративных процессов.
- Компьютерной томографии (метод SPECT/CT). С помощью этого исследования собирается информация о перестройки костей. Этот процесс неизбежен, если повреждён голеностоп.
- МРТ – дополнительное исследование.
- Артроскопии. Выполняется в сложных случаях.
- Пункцию сустава делают по показаниям.
Лечение

Делится на консервативное лечение остеоартроза и оперативное. Консервативное лечение рекомендовано при I и II степенях, хирургическое при III и IV.
Консервативное лечение
Включает лекарственные препараты, физиотерапию, лечебную физкультуру, а также коррекцию питания и массы тела (если требуется).
Из медикаментов назначаются НПВП для снятия болевого синдрома и хондропротекторы. Последние бывают в виде мазей, капсул, инъекций. Что лучше в каждом конкретном случае, решает лечащий врач. Инъекции дают неплохой и достаточно быстрый эффект, мази действуют медленно. Приём хондропротекторов внутрь всегда сочетают с мазями или уколами на их основе.
Выбирайте мази (если врач не назначил какую-то конкретную) с комбинированным действием. В их составе, кроме хондропротекторов, присутствует НПВП-составляющая. Такие средства не только питают хрящ, но и снимают болевой синдром и воспаление.
Дополнительно могут назначаться:
- Глюкокортикоиды с анестетиками для введения в околосуставную сумку при сильных, неутихающих болях.
- Миорелаксанты для снятия мышечного напряжения.
ЛФК и физкультура – важная составляющая консервативного лечения остеоартроза голеностопного сустава. Важно укреплять мышцы и связки вокруг голеностопа, чтобы облегчить его работу и снять часть нагрузки. Следующие упражнения рекомендовано выполнять ежедневно:
- Займите удобное положение лёжа или сидя. Согните и разогните пальцы на стопах. Повторите 10 раз.
- Потяните на себя пальцы с усилием, затем опустите их и расслабьтесь. Количество повторений – 10.
- Если подвижность голеностопов позволяет, произведите круговые движения стопами сначала по часовой стрелке (10 раз), затем против часовой (тоже 10 раз).
Физиотерапия – ещё одно дополнительное средство в консервативном лечении. Чаще всего пациентам назначается магнит, электрофорез с обезболивающими, лазер. Если лечащий врач сочтёт целесообразным, лечение можно проводить дома медицинскими аппаратами, предназначенными для самостоятельного использования.
Диета – необходимая составляющая лечения. Если имеет место лишний вес, от него необходимо избавляться. Включите в рацион больше овощей и фруктов, нежирного мяса (куриная грудка, индейка, крольчатина), нежирных кисломолочных продуктов. Полностью исключите жареное, острое, жирное, пересоленное. Для снижения массы тела обратитесь к специалисту. Вам подберут правильную схему питания и физических упражнений, учитывая состояние больных суставов и сконцентрировав нагрузки на других группах мышц.
Хирургическое вмешательство
Оперативное лечение остеоартроза голеностопного сустава может быть выполнено двумя способами – эндопротезированием или артродезом. В первом случае проводится сложная операция по замене стёршейся головки искусственной. Важно попасть в руки к профессионалу. На голеностопные суставы ложится большая нагрузка, поэтому такая операция должна быть проведена с максимальной точностью и длительной реабилитацией под контролем специалистов.
Артродез – полная фиксация сустава в одном положении. На большеберцевой и таранных костях полностью удаляются хрящи. Затем их соединяют и фиксируют. Двигательная функция больной конечности нарушается, однако полностью ликвидируется болевой синдром. Артродез при остеопорозе голеностопа рекомендован в следующих случаях:
- Сустав долгое время ограничен в движениях.
- Болевой синдром не снимается ни НПВП, ни глюкокортикоидами с анестетиками.
Деформирующий остеоартроз голеностопного сустава – быстро прогрессирующее заболевание. Все консервативные методы лечения дают положительный результат только на ранней стадии. На первой вообще возможно полное излечение при постоянной поддерживающей терапии и оптимальных физических нагрузках. Если сустав сильно изменён и максимально ограничен в подвижности, у пациента непроходящие боли, рекомендуется хирургическое лечение. Какое именно – решает лечащий врач после тщательного обследования.
Вопрос-ответ
Можно ли ходить при артрозе голеностопного сустава?
При любых признаках появления артроза голеностопного сустава следует минимизировать нагрузки на данную область стопы. Больному требуется покой, который позволит снизить болевые ощущения и притормозить последующую деформацию хрящевой ткани сустава.
Что такое остеоартроз голеностопа?
Остеоартроз голеностопа — это дегенеративное заболевание суставов, характеризующееся износом хрящевой ткани, что приводит к боли, ограничению подвижности и изменению структуры сустава. Он может развиваться в результате травм, возрастных изменений, избыточного веса или наследственных факторов, и проявляется симптомами, такими как боль при движении, отечность и хруст в суставе. Лечение может включать физическую терапию, медикаменты и в некоторых случаях хирургическое вмешательство.
Как лечить остеоартроз стопы?
Обычно пациентам, страдающим артрозом стопы, назначают курс электрофореза, фонофореза, УВЧ-терапии, магнитотерапии, лазерного лечения. Также при этом диагнозе могут быть назначены радоновые ванны и грязелечение. Метод ударно-волновой терапии (УВТ).
Как остановить деформирующий остеоартроз?
Лечение заболевания. Лечение деформирующего остеоартроза производится в комплексном режиме, однако на начальных порах все действия направлены на снятие нагрузки с больного сустава, уменьшение его движений, ограничение любых физических нагрузок, в том числе ношения тяжелых предметов.
Советы
СОВЕТ №1
Регулярно выполняйте упражнения для укрепления мышц и связок голеностопного сустава. Это поможет улучшить его стабильность и снизить риск травм. Консультируйтесь с врачом или физиотерапевтом для подбора безопасной и эффективной программы тренировок.
СОВЕТ №2
Обратите внимание на свой вес. Избыточная масса тела создает дополнительную нагрузку на суставы, что может усугубить симптомы остеоартроза. Сбалансированное питание и регулярная физическая активность помогут контролировать вес и улучшить общее состояние здоровья.
СОВЕТ №3
Используйте ортопедические стельки или специальные обувные изделия, которые обеспечивают поддержку и амортизацию. Это может помочь уменьшить болевые ощущения и улучшить функциональность голеностопного сустава.
СОВЕТ №4
Не игнорируйте симптомы и своевременно обращайтесь к врачу. Раннее выявление и лечение остеоартроза могут значительно замедлить прогрессирование заболевания и улучшить качество жизни.



