Заболевания спинного мозга долгое время оставались сложной для диагностики патологией. Как правило, диагноз устанавливался уже при развернутой клинической картине, что существенно ухудшало прогноз и возможности реабилитации. В настоящее время, благодаря доступности методов лучевой диагностики, многие патологии нервной системы обнаруживаются еще на бессимптомном этапе и, по сути, являются случайной находкой во время исследования. К таким болезням относится и гидромиелия.
Определение
Гидромиелия – это не что иное, как расширение центрального канала спинного мозга. Он представляет собой узкую полость, заполненную ликвором. Располагается канал на протяжении всего спинного мозга, вверху сообщаясь с четвертым желудочком головного мозга, а внизу расширяется, а затем заканчивается слепо. На этом уровне он носит название терминального желудочка.
Однако, как видно из названия, спинномозговая полость не изменяется сама по себе. Она расширяется под давлением жидкости, которая задерживается в канале. Эта патология аналогична скоплению жидкости в головном мозге, больше известной под названием гидроцефалии. Иногда эти болезни взаимосвязаны, и гидромиелия является следствием поражения головного мозга. Этот патологический процесс еще называют водянкой спинного мозга.
К гидромиелии также относят незаращение центрального канала. В норме к 35–40 годам он зарастает в шейном и грудном отделах у большинства здоровых людей.
В медицинской литературе нередко упоминается гидросирингомиелия и сирингомиелия. Есть ли общее у этих терминов?
Гидромиелия спинного мозга представляет собой патологическое состояние, характеризующееся образованием полостей с жидкостью внутри спинного мозга. Врачи отмечают, что это заболевание часто связано с другими неврологическими расстройствами, такими как арнольд-киари синдром или травмы спинного мозга. Симптоматика может варьироваться от легкой боли и онемения до серьезных двигательных нарушений. Специалисты подчеркивают важность ранней диагностики, так как своевременное лечение может значительно улучшить качество жизни пациента. В некоторых случаях требуется хирургическое вмешательство для устранения причины гидромиелии и предотвращения дальнейшего прогрессирования заболевания. Врачи также акцентируют внимание на необходимости комплексного подхода к лечению, включая медикаментозную терапию и реабилитацию.

Гидросирингомиелия
Долгие годы в отношении гидромиелии и сирингомиелии возникала терминологическая путаница. Многие авторы объединяли эти патологические состояния в одно название – гидросирингомиелию.
Патологические процессы в спинном мозге достаточно многообразны. Кроме расширения центрального канала, в окружающем его пространстве могут формироваться полости, заполненные глиозной тканью. Это и есть сирингомиелия. Они могут быть связаны с расширенным каналом или располагаться обособленно и замкнуто. И в связи с этим невропатологи выделяют три варианта патологического процесса.
Согласно классификации Т. Milhorat (2000 г.) это следующие формы сирингомиелии:
- Несообщающаяся центральноканальная (собственно сирингомиелия).
- Сообщающаяся центральноканальная (гидросирингомиелия).
- Несообщающаяся экстраканальная (собственно гидромиелия).
На практике большинство врачей употребляют разные термины, подразумевая под гидромиелией и сирингомиелией один и тот же патологический процесс.
Почему нарушается нормальная циркуляция ликвора в спинальном канале? Что препятствует его оттоку? Каковы основные причины гидромиелии?
Причины
Заболевание может развиваться по многим причинам. Чаще всего этот процесс начинается еще в детском и подростковом возрасте, а после 30–35 лет появляются первые симптомы. Иногда патология прогрессирует с первого дня жизни, если она связана с врожденными структурными аномалиями позвоночника.
Гидромиелия бывает двух видов:
- Идиопатическая, или истинная. Этот диагноз устанавливают, когда невозможно выявить фактор, приводящий к нарушению циркуляции ликвора в спинальной канале.
- Вторичная.
Вторичная форма – это следствие основного патологического процесса. Наиболее частыми причинами ее развития являются:
- Структурные аномалии в области соединения черепа с позвоночником (краниовертебральный переход). Это может быть врожденная болезнь Арнольда-Киари второго типа, нетипичное расположение зубовидного отростка второго шейного позвонка, смещение вверх затылочного отверстия и затылочных мыщелков (базилярная импрессия).
- Ассоциация с гидроцефалией. Обычно речь идет о выраженном нарушении оттока спинномозговой жидкости в полости черепа.
- Травмы головы и позвоночника.
- Кисты, заполненные жидкостью в области задней черепной ямки, мешающие циркуляции ликвора.
- Различные опухоли – доброкачественные и злокачественные. Они могут располагаться в области большого затылочного отверстия или экстрамедуллярно – вокруг спинного мозга. Также к гидромиелии приводят и внутримозговые объемные образования.
- Воспалительные процессы в спинном мозге (поперечный миелит) и оболочках – арахноидит.
- Деформирующая остеодистрофия, или болезнь Педжета. Это поражение костной системы, которое ведет к деформации позвоночника и спинального канала.
- Кровоизлияния.
- Инфекционные болезни, затрагивающие спинной мозг и окружающее его пространство.
Однако не все врачи придерживаются такой классификации. По мнению некоторых неврологов, истинная форма возникает лишь в случае врожденных пороков развития опорно-двигательной системы. А во всех остальных случаях речь идет о смешанном варианте – гидросирингомиелии.
Какие отделы позвоночного столба чаще всего поражает патологический процесс?
Гидромиелия спинного мозга — это заболевание, которое вызывает много вопросов и обсуждений среди пациентов и специалистов. Люди, столкнувшиеся с этой проблемой, часто описывают свои ощущения как болезненные и тревожные. Симптомы могут варьироваться от слабости в конечностях до болей в спине и нарушений чувствительности. Многие отмечают, что диагностика может занять много времени, так как симптомы схожи с другими заболеваниями. Важно, что пациенты делятся опытом лечения и реабилитации, что помогает другим не терять надежду. Обсуждения на форумах показывают, что поддержка и информация от тех, кто уже прошел через это, играют ключевую роль в процессе адаптации к новому состоянию. Врачи же подчеркивают важность ранней диагностики и индивидуального подхода к каждому случаю, что также вызывает интерес и обсуждение среди людей, сталкивающихся с этой болезнью.

Локализация
Чаще всего гидромиелический процесс развивается в шейном отделе позвоночного столба. При проведении МРТ расширение центрального канала на этом уровне можно обнаружить даже у людей, не предъявляющих никаких неврологических жалоб. Грудной отдел поражается несколько реже, но такая локализация также характерна для этой патологии.
На уровне пояснично-крестцового отдела нарушения циркуляции ликвора практически не встречаются. Однако терминальное расширение центрального канала – желудочек Краузе – также относят к частным случаям гидромиелии.
Как проявляется эта патология?
Проявления
Прежде всего следует помнить, что собственно гидромиелию нельзя отнести к болезни. Это лишь нарушение циркуляции спинномозговой жидкости и локальное расширение центрального канала в шейном и грудном отделах – структурные особенности конкретного человека, возникшие под влиянием определенных факторов.
В большинстве случаев этот диагноз – результат случайной находки при выполнении магнитно-резонансной томографии позвоночника по поводу другого заболевания.
Нередко патология никак себе не проявляет. И человек даже не подозревает, что в его спинном мозге возникли структурные изменения. Однако по мере прогрессирования болезни ситуация меняется. Как только расширение канала и скопление жидкости становится значимым, усиливается давление на спинной мозг. Это приводит к его отеку и нарушению трофики.
Закономерным следствием сдавления спинного мозга является развитие определенных неврологических симптомов. На что будут жаловаться пациенты с этим заболеванием?

Неврологические симптомы
Неврологическая симптоматика при водянке спинного мозга зависит от тяжести заболевания, причинного фактора и локализации патологического процесса.
При гидромиелии в шейном отделе первые клинические признаки начнут появляться в области плечевого пояса и рук. Если же процесс затронул и грудной отдел, то неприятные ощущения переместятся ниже. В этом случае двигательные и чувствительные нарушения затронут руки, грудную клетку, область живота и поясницы и даже ноги.
Чаще всего пациенты отмечают такие симптомы:
- Атрофия мускулатуры рук.
- Мышечная слабость.
- Нарушение кровообращения в кончиках пальцев с развитием цианоза (посинением).
- Потливость или, наоборот, сухость кожных покровов.
- Ограничение движений в руках.
- Ощущение похолодания в конечностях.
- Снижение сухожильных рефлексов.
- Боли в руках, на уровне грудного отдела позвоночника.
- Судороги.
- Выпадение температурной и болевой чувствительности при гидросирингомиелии. Этот симптом обычно наблюдается в области рук, плечевого пояса, груди.
- Значительное снижение глубокого мышечного чувства.
Как подтвердить этот диагноз?
Диагностика
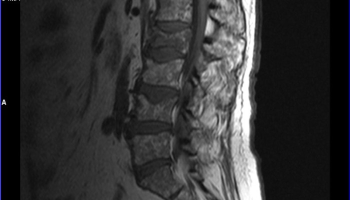
Для подтверждения гидромиелии используют миелографию и компьютерную томографию, однако информативным и надежным методом диагностики этого заболевания является магнитно-резонансная томография.
На МРТ можно обнаружить гидромиелические полости. Обычно они достигают небольших размеров в диаметре – от 0,2 до 0,4 см и заполнены ликвором. Поперечник спинного мозга на этом уровне не расширен.
При гидросирингомиелии на МРТ будут также видны веретеновидные полости, заполненные ликвором и не накапливающие контрастное вещество. Поперечник спинного мозга на этом уровне расширяется.
Лечение

Как лечится водянка спинного мозга и есть ли необходимость в проведении терапии? Как правило, если эта патология является случайной находкой на МРТ и не сопровождается неврологической симптоматикой, то лечение не проводится.
В том случае, если заболевание прогрессируют и появляются характерные жалобы, подбором терапии занимаются невролог и нейрохирург. Однако все лечебные мероприятия должны проводиться с осторожностью, учитывая, что патологический процесс локализуется преимущественно в шейном и грудном отделах.
В первую очередь при нарушении циркуляции ликвора необходимо попытаться ликвидировать основную причину, вызвавшую это заболевание. Это возможно в ситуации, когда причинным фактором является инфекция, травма или кровоизлияние.
При опухолевом и метастатическом поражении проводится удаление новообразования. При врожденных пороках развития черепа и позвоночника выбор лечения весьма ограничен, однако при некоторых патологиях возможно выполнение реконструктивных нейрохирургических операций.
Собственно гидромиелию можно устранить, лишь восстановив нормальную циркуляцию ликвора. Это достигается при помощи установления специального шунта, как и при гидроцефалии.
Гидромиелия – это патологический процесс, который не всегда ухудшает качество жизни. Однако если симптомы уже появились, без адекватной нейрохирургической помощи обойтись нельзя.
Вопрос-ответ
Чем опасна гидромиелия?
Если гидромиелия не устранена на раннем этапе, формируется полость, которая сдавливает вещество спинного мозга, вызывая разнообразные патологические проявления.
Что такое водянка спинного мозга?
Гидромиелия – патологическое состояние, при котором в центральном спинномозговом канале значительно увеличен объем ликвора и, соответственно, повышено его давление. Иногда можно встретить неофициальное название «водянка спинного мозга».
Какие симптомы при воспалении спинного мозга?
Основной симптом — утрата чувствительности (вибрационной, болевой, температурной), которая приводит к спазмам, непроизвольным движениям конечностей и слабости мышц. Проявляется парестезией (внезапно возникающим онемением, покалыванием, жжением).
Чем отличается гидромиелия от сирингомиелии?
При гидромиелии образуется центрально-канальная полость, заполненная ликвором, тогда как при сирингомиелии такие образования расположены в веществе спинного мозга. Распространенность гидромиелии составляет 2,5-2,7 случаев на 100 тыс. населения.
Советы
СОВЕТ №1
Обратите внимание на симптомы. Гидромиелия может проявляться различными неврологическими симптомами, такими как слабость в конечностях, онемение или боли в спине. Если вы заметили у себя или близких подобные признаки, не откладывайте визит к врачу.
СОВЕТ №2
Изучите информацию о лечении. Гидромиелия может требовать различных подходов к лечению, включая медикаментозную терапию и хирургическое вмешательство. Ознакомьтесь с возможными вариантами, чтобы лучше понимать, чего ожидать от процесса лечения.
СОВЕТ №3
Поддерживайте связь с медицинскими специалистами. Регулярные консультации с неврологом или нейрохирургом помогут вам следить за состоянием и корректировать лечение при необходимости. Не стесняйтесь задавать вопросы и обсуждать свои опасения.
СОВЕТ №4
Обратите внимание на образ жизни. Здоровое питание, физическая активность и управление стрессом могут положительно сказаться на общем состоянии здоровья и помочь в поддержании функции нервной системы. Рассмотрите возможность включения в свою жизнь практик, способствующих улучшению самочувствия.



